Myeloid Neoplasms

Myeloproliferative Neoplasms

 

Chronic myeloid leukemia (CML), BCR-ABL1-positive

Chronic Neutrophilic Leukemia (CNL)

Polycythemia vera (PV)

Primary Myelofibrosis (PMF)

  • Prefibrotic / early PMF
  • Overt fibrotic myelofibrosis

Essential Thrombocythemia (ET)

Eosinophilia overview *** BONO***

Chronic Eosinophilic Leukemia (CEL), NOS

Myeloproliferative Neoplasms, Unclassifiable

 

Mastocytosis (not considered an MPN)

  • Cutaneous mastocytosis
  • Systemic mastocytosis
  • Mast cell sarcoma

Myelodysplasic / myeloproliferative neoplasms

Chronic MyeloMonocytic Leukemia (CMML)

Atypical Chronic Myeloid Leukemia (aCML)- BCR-abl1 negative

MDS /MPN with ring sideroblasts and thrombocytosis ( MDS /MPN–RS-T)

Myelodysplastic / Myeloproliferative neoplasm - unclassifiable

Myelodysplastic Syndromes

MDS with single lineage dysplasia

MDS with ringed sideroblasts (MDS-RS)

MDS with multilineage dysplasia

MDS with excess blasts

  • MDS with excess blasts and erythroid predominance
  • MDS with excess blasts and fibrosis

MDS with isolated del(5q)

MDS, unclassifiable

Childhood MDS

  • Refractory cytopenia of childhood

Acute myeloid leukemia (AML) and related precursor neoplasms

Acute myeloid leukemia (AML) with recurrent genetic abnormalities

  • Acute myeloid leukemia with t(8;21)(q22;q22.1); RUNX1-RUNX1T1
  • Acute myeloid leukemia with inv(16)(p13.1q22) or t(16;16)(p13.1;q22); CBFB-MYH11
  • Acute promyelocytic leukemia (APML) with PML-RARA
  • Acute myeloid leukemia with t(9;11)(p21.3;q23.3); KMT2A-MLLT3
  • Acute myeloid leukemia with t(6;9)(p23;q34.1); DEK-NUP214
  • Acute myeloid leukemia with inv(3)(q21.3q26.2) or t(3;3)(q21.3;q26.2); GATA2, MECOM
  • Acute myeloid leukemia (megakaryoblastic) with t(1;22)(p13.3;q13.1); RBM15-MKL1
  • Acute myeloid leukemia with BCR-ABL1
  • Acute myeloid leukemia with gene mutations
    • Acute myeloid leukemia with mutated NPM1
    • Acute myeloid leukemia with biallelic mutation of CEBPA
    • Acute myeloid leukemia with mutated RUNX1

Acute myeloid leukemia with myelodysplasia-related changes

Therapy-related myeloid neoplasms

Acute myeloid leukemia, not otherwise specified

  • Acute myeloid leukemia with minimal differentiation
  • Acute myeloid leukemia without maturation
  • Acute myeloid leukemia with maturation
  • Acute myelomonocytic leukemia
  • Acute monoblastic and monocytic leukemia
  • Pure erythroid leukemia
  • Acute megakaryoblastic leukemia
  • Acute basophilic leukemia
  • Acute panmyelosis with myelofibrosis (APMF)

Myeloid sarcoma

Myeloid proliferations associated with Down syndrome

  • Transient abnormal myelopoiesis associated with Down syndrome
  • Myeloid leukaemia associated with Down syndrome

Leukemia cutis - see Neoplastic Dermatology

Myeloid / lymphoid neoplasms with eosinophilia and gene rearrangement

Myeloid / lymphoid neoplasms with PDGFRA rearrangement

Myeloid / lymphoid neoplasms with PDGFRB rearrangement

Myeloid / lymphoid neoplasms with FDFR1 rearrangement

Myeloid / lymphoid neoplasms with PCM1-JAK2

Blastic plasmacytoid dendritic cell neoplasm

Myeloid neoplasms with germline predisposition

Acute leukemias of ambiguous lineage

Myeloid neoplasms with germline predisposition without a pre-existing disorder or organ dysfunction

  • Acute myeloid leukaemia with germline CEBPA mutation
  • Myeloid neoplasms with germline DDX41 mutation

Myeloid neoplasms with germline predisposition and pre-existing platelet disorders

  • Myeloid neoplasms with germline RUNX1 mutation
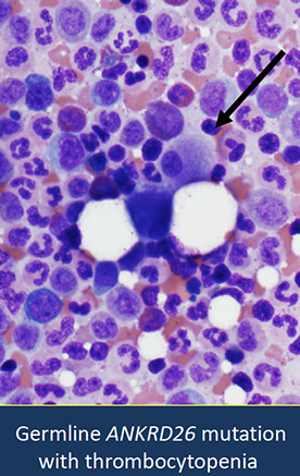
  • Myeloid neoplasms with germline ANKRD26 mutation
  • Myeloid neoplasms with germline ETV6 mutation

Myeloid neoplasms with germline predisposition associated with other organ dysfunction

Myeloid neoplasms with germline GATA2 mutation

Myeloid neoplasms with germline predisposition associated with inherited bone failure syndromes and telomere biology disorders

Acute undifferentiated leukaemia

Mixed-phenotype acute leukaemia with t(9;22)(q34.1 ;q11.2); BCR-ABL1

Mixed-phenotype acute leukaemia with t(v; 11 q23.3); KMT2A-rearranged

Mixed-phenotype acute leukaemia, B/myeloid, NOS

Mixed-phenotype acute leukaemia, T/myeloid, NOS

Mixed-phenotype acute leukaemia, NOS, rare types

Acute leukaemias of ambiguous lineage, NOS

Overview of Myeloid Neoplasms

Nonblasts sometimes considered "blast equivalents"

- promonos in dx of acute monocytic or myelomonocytic leukemia

- Promyelos in dx of acute promyelocytic leukemia (APML)

- erythroblasts in "pure erythroleukemia"

All cases should get cytogenetic culture

- morphology guides use of specific molecular assays

 

Sx: most have cytopenias, dyspoiesis, and can develop acute leukemia

- present c fatigue, infx, or bleeding

- S-megaly usually not present

 

Myeloproliferative Neoplasms

Are clonal hematopoietic stem cell disorders characterized by proliferation in the bone marrow of one or more of the myeloid lineages

Usually >1 myeloid lineage is involved

- Mild to marked erythrocytosis, leukocytosis, and thrombocytosis

- Most patients may be diagnosed with a PB smear.

Varying degrees of marrow fibrosis

- Splenomegaly

Peak incidence is in the fifth to sixth decades of life, although may occur in children

 

MPN overview [2]

Chronic myeloid leukemia (CML), BCR-ABL1 positive

_____________________

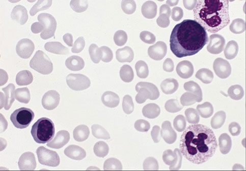
Leukocytosis, with immature and mature cells.  Thrombocytosis is common, S-megaly from EMH

- can be dx'd from PB, but should get BM to ensure enough material for KT and confirm phase of dz

 

t(9;22) creates the Philadelphia chromosome (Ph1) and the BCR/ABL1 chimeric gene, the molecular basis of the disease

- Detectable by cytogenetics (karyotype, FISH) or molecular genetics (RT-PCR)

Other cytogenetic abnormalities (+Phl, +8, iso17q) show disease progression

Disease of adults (but reported in all ages).

_____________________________________

 

_____________________________________

Sx: Fatigue, shortness of breath on exertion, malaise, fullness of upper abdomen, anorexia and weight loss, priapism: due to extremely elevated WBC or platelet count.

_____________________________________

Peripheral Blood Lab Findings:

Marked leukocytosis (50 - 600 X 10^9/L). Basophilia. and eosinophilia

Thrombocytosis.

Anemia is normochromic normocytic.

Elevated serum vit B12 and vit B12 carrying capacity

- Decreased leukocyte alkaline phosphatase (LAP)

 

- derived from precursor cell to myeloid and lymphoid lineages

 

Marked myeloid hyperplasia with “myelocyte bulge”.

 

BM Findings

- markedly hypercellular (~100% cellularity)

- markedly elevated M:E ratio

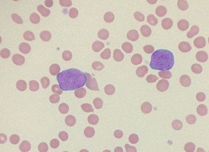
Megakaryocytic hyperplasia and clustering.

-- "Dwarf mgkcs" - lots o small hypolobated megs

Myelodysplasia is not a major feature.

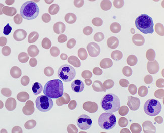
Marrow fibrosis (reticulin fibrosis) is variable

"pseudo-Gaucher" cells - see below

 

 

Bi-/triphasic: Chronic Phase (CP), then Accelerated Phase (AP) or Blast Phase (BP)

- stays in chronic phase for ~3.5 yrs; half have an accelerated phase that can progress to blast phase

_____________________________________

Chronic Phase (CP)

 

Leukocytosis w myelocytes and segs.  Eosinophilia common

- blasts ususally <2% on PS

- marrow hypercellular w myeloid lineage inc and dwarf megakaryocytes (small + hypolobated)

-- BM fibrosis in 30% (get reticulin stain??), which is assoc w inc megakaryo # and poor prog

-- may see Gaucher cells and sea-blue histiocytes in BM too

 

Tx: Protein Kinase Inhibitor (PTKI) inhibitor therapy causes dec myeloid cells, better mega poiesis, dec fibrosis, dec prolif

_____________________________________

Accelerated Phase (AP)

 

Becoming less common in the age of TKI therapy, no universally accepted criteria to dx AP of CML

- see table 2 above for a complete list of dx criteria

- criteria include hematologic, morphologic and cytogenetic parameters in addition to genetic evolution and evidence of resistance to TKIs

 

1) persistent/ increasing WBC or splenomegaly

2) persistent thrombocytosis uncontrolled by therapy

3) persistent thrombocytopenia unrelated to therapy

4) colonal cytogenetic evolution occuring after initial diagnostic karyotype

5) >20% basophils in PB

6) 10-19% myeloblasts in PB or BM

 

- 1-4 --> CP to AP; 5/6 --> AP to BP

_____________________________________

Blast Phase (BP)

 

1) blasts > 20% PB WHB or nucleated cells on BM

- large focal blast collection may clinch BP dx even if total blast count < 20%

 

2) extramedullary blast proliferation

-- CD34 or TdT helps to identify blasts, but not always...

 

70% are myeloid (AML), 30% lymphoid (B-ALL)

- the lymphoid BP cases are usually precursor B cell lineage, but usually express myeloid markers as well

_____________________________________

Genetics

95% w/ t[9:22], bcr-abl, on the Philadelphia chromosome

- BCR (breakpoint cluster region) gene on 22q11.2 fuses c ABL (Abelson, for a leukemia virus that carries similar protein) gene on 9q34

-- may have cryptic fusion requiring FISH

- this usually causes inc tyrosine kinase activity

- "metamyelocyte bump": cells normally decrease in number from most to least mature; but get a strange bump in the metamyelocyte cell line here

 

p190 - ALL

p210 - CML, sometimes ALL

p230 - CML c chronic neutrophilia and tbcytosis

 

Cytogenetics: t(9;22) on conventional karyotype

FISH: Fusion of BCR and ABL1 probes

Moelcular: RT-PCR demonstration of BCR-ABL1 fusion

 

Rare cases may have cytogenetically cryptic BCR-ABL1 rearrangement

_____________________________________

DDx: - Myelofibrosis with myeloid metaplasia.

- Infection or reaction to tissue necrosis or neoplasm (leukemoid reaction)

- Leukocyte (or neutrophil) alkaline phosphatase (LAP/NAP):

- Normal or increased in leukemoid reaction.

- Decreased in CML.

_____________________________________

IHC: Low leukocyte alkaline phosphatase (vs leukemoid reaction) in CP

_____________________________________

Px

Inexorably progress to an acute leukemia with loss of differentiation ('blast crisis' or 'blast phase')

 

- AML types:

70% myeloid,

30% B-lymphoid (underscores pluripotent nature of the CML stem cell)

 

If transforms to ALL AML ("blast crisis") = Acute Progression = Rapid Death (20%/year)

 

If untreated:

Proliferative and symptomless phase - 6.3 years.

Preclinical - 19 months.

Terminal, advanced - 3 years mean survival.

Chronic phase (5-10%) -> Accelerated phase (11-19%) -> Blast crisis (>20% blasts)

~2/3 myeloid (AML)

~1/3 lymphoid (ALL)

_____________________________________

Tx: Hydroxyurea, alpha-interferon

- Bone marrow transplantation (BMT)

- Gleevec (imatinib) and Sprycel (desatinib) - inhibit tyrosine kinase activity of chimeric BCR/ABL protein

 

***Imatinib ( *** "I'm a in Philadelphia!" says Becker. ***) IMitates ATP and competes for binding site on BCR-ABL1 kinase domain and prevents phosphorylation of tyrosine residues on its substrates

 

- BMT is a cure (but not the best initial tx)

____________________________________

Px: may  live normal lifespan, but should be regularly monitored for BCR-ABL1 burden and for evidence of resistance to TKI therapy

- inexorably progress to an acute leukemia with loss of differentiation

- Acute leukemia types: 70% myeloid, 30% B-lymphoid (the occurence of B-lymphoid blastic progression underscore the pluripotent nature of the CML stem cell)

CML- chronic phase PB

CML - Marrow fibrosis

CML: FISH major breakpoint; Red=ABL, Green = BCR

CML - dwarf megs

TKIs in CML

Chronic Neutrophilic Leukemia (CNL)

_____________________________________

Rare, in older males, always in PB and BM, usually infilatrates liver and spleen

- Reduced numbers of CFU-C (colony-forming units).

No cytogenetic abnormality found.

Persistent leukocytosis without a left shift (100 X 109/L).

- Toxic granulation and Döhle bodies are present.

- Rare NRBC can be seen.

- Elevated LAP.

_____________________________________

BM marked cellularity.

Neutrophilic hyperplasia.

No evidence of myelodysplasia.

Negative for Ph1 chromosome.

 

Neutrophils often appear toxic with coarse granules

_____________________________________

Diagnostic criteria:

1.) WBC > 25,000 (in PB), with majority (>80%) neutrophils + bands, and <10% immature myelocytes (pro-,myelo-,metamyelo-), <1% blasts

2.) Hypercellularity on BMBX, c inc neutros (which mature normally), normal blasts and Mkcs

3.) Hepatosplenomegaly

4.) No underlying cause for neutrophilia (infx or tumor)

5.) No Philadelphia chromosome or BCR-ABL1 fusion genes

6.) No PDGFRA, PDGFRB, or FGFR1 rearrangements

7.) No polycythemia vera, primary myelofibrosis, or essential thrombocythemia

8.) No MDS, MPN, granulocytic dysplasia

9) CSF3R T618I or other activating  CSF3R mutation

 

Must exclude other myeloproliferative neoplasms, myelodysplasia, and anything that can normally cause neutrophilia

- since neutrophilia often occurs with multiple myeloma, BM should be examined for plasma cell prolif (in olden days, chronic neutrophilia assoc c plasma cell neoplasms, but the clonality of neutrophils was never tested, so most likely was 2/2 reactive neutrophilia from cytokine production and not a clonal neoplasm)

 

Should (in ~90%) have the CSF3R mutation described above

- pts will occasionally be JAK2 positive

 

One pt has been successfully tx'd c imatinib who had t(15;19)(q13;p13.3), meaning some cases may have fusion genes

_____________________________________

Px: ranges 6 months to 20 years

- is a slowly progressive disorder, which may eventually cause anemia and thrombocytopenia

- some patients may get MDS which progresses to AML (may have been caused by cytotoxic tx)

 

Revised criteria for dx of CNL

Mutation of the TROR receptor itself is due to mutations of the MPL gene, which encodes it [2], CALR is response for the folding of the MPL protein

MDS 5q del, CMML, MDS/MPN-RS-T, AML inv 3

PV in PB

PV with marrow fibrosis

 

Polycythemia Vera (PV)

_____________________________________

Panmyelosis and specifically increased red cell mass (RCM)

RBC count: - >5.9 X 1012/L in women; >6.6 in men

- Extremely high erythrocyte count (may reach 10 X 1012/L).

Hgb = males >17.5 g/dL, females >15.5 g/dL.

Hct = males >55% , females >47%.

- Mean Cell Volume (MCV) and Mean Cell Hemoglobin Concentration (MCHC): low normal to low because of absent or decreased iron stores

- chronic bleeding (abnormal platelet function)

-therapeutic phlebotomy

- increased RBC production and turnover

 

Mild granulocytosis (may go as high as 50 X 109/L) and thrombocytosis

Basophils are elevated

Molecular basis is JAK2 (Janus kinase 2) gene mutations (usually JAK2 V617F), >98% patients

____________________________________

PB findings:

- Normoblasts may be seen

- Reticulocytes are not significantly increased

- Difficult to prepare a good PB film due to high viscosity (For better smear - mix equal parts of blood specimen and normal saline)

- Increased serum vitamin B12 and serum vitamin B12 binding capacity

- Increased leukocyte alkaline phosphatase (LAP)

 

BM

Hypercellular with increased normoblasts and  megakaryocytes

Fibrosis worsens as disease progresses

Iron is decreased or absent

____________________________________

Labs

Decreased serum iron and ferritin.

Decreased erythropoietin levels.

____________________________________

Sx: Headaches, vertigo, ringing in the ears, blurred vision, itching eyes, upper GI pain (may be secondary to peptic ulcers), pruritis (red, itchy skin).

- Thromboses, either venous or arterial, are common (strokes)

- Most patients are 50 to 60 years, but all age groups

- Splenomegaly and hepatomegaly due to EMH (extramedullary hematopoiesis)

- Gout and hypertension.

_____________________________________

3 phases:

1.) prodromal - only has mild erythrocytosis

2.) polycythemic stage - definite increase in RBCs

3.) terminal stage - lots of BM fibrosis, hypersplenism and EMH

 

May eventually progress to MDS or AML; Hgb normal to dec in later stages

- reticulin stain helps visualize marrow fibrosis in late stage

 

Must exclude other causes of polycythemia

 

Survival >10 years common

- most pts die from thrombosis or hemorrhage, ~20% get MDS or AML (which increases with use of certain cytotoxic therapies)

_____________________________________

Diagnostic criteria

(need all 3 major or 2 major and the minor)

Major Criteria:

1.) Hgb > 16.5 Male; >16 Female, or

Hct > 49 M, >48 F, or

Increased RCM

 

2. Hypercellular Bmbx with trilineage growth (panmyelosis) with pleomorphic mature megs (different sizes)

 

3. Presence of JAK2V617F or JAK2 exon 12 mutation

 

Minor criteria:

Low EPO level

_____________________________________

 

DDx: PV van mimic ET in early stages

_____________________________________

Genes

JAK2 in >95% of PV patients, but is non-specific

- nearly all pts that progress to MDS of AML have a cytogenetic abnormality (ie +8, +9, del(20q), del(13q), del(9p))

- Jak-2 protein stimulates STAT pathway

- MC JAK2 mutation is G to T substitution on nucleotide 1849, causing val to phe substitution at codon 617 (Val617Phe)

- less commonly can have 2nd activating mutation c JAK2 at exon 12

- no MPL mutations assoc c PV

 

Long term - tear drop cells (dacryocytes) secondary to myelofibrosis

- PV transforms into AML in a significant number (may be secondary to therapy)

- Without treatment median survival is ~18 months.

- With treatment survival varies from 8.9 to 13.9 years, depending on the therapy.

_____________________________________

Post-PV MF

Diagnostic criteria

Required criteria

1.) Previously diagnosed PV

2.) Significant marrow fibrosis

 

Additional criteria (need at least 2)

1.) Anemia

2.) PB leukoerythroblastic

3.) Splenomegaly

4.) at least 1 of 3 constitutional sx: weight loss, night sweats, fever

_____________________________________

Tx: Phlebotomy to reduce blood viscosity

- 32P or alkylating chemotherapy to reduce bone marrow production - increased risk of secondary acute leukemias and lymphomas

- Hydroxyurea, alpha-interferon

- Aspirin to prevent clots

_____________________________________

Px

Thrombotic complications are more common than in ET

- excellent long-term survival

- may develop fibrosis over time (in burnt out phase)

 

[2]

PMF

Primary Myelofibrosis

Primary Myelofibrosis (PMF)

_____________________________________

aka

(agnogenic myeloid metaplasia, AMM) (idiopathic myelofibrosis, IMF) (myelofibrosis with myeloid metaplasia, MMM) (chronic idiopathic myelofibrosis, CIM)

_____________________________________

Challenges of diagnosis PMF[2]:

- in fibrotic phases of disease, must distinguish from other causes of bone marrow fibrosis

-- close attention to morphology and mutation status (JAK2/MPL/CALR) is helpful

 

- in early phases of disease, fibrosis is minimal or absent

- correct diagnosis is important, since early PMF has a high risk of progression to a fibrotic disease phase and has worse prognosis than other MPNs

- morphologically distinct from ET; erythrocytosis is absent

-- increased bone marrow cellularity and more frequent, clustered megakaryocytes in early PMF compared to ET

_____________________________________

- Characterized by fibroblast proliferation, increased collagen, fibrosis, and granulocytic hyperplasia in BM; extramedullary hematopoiesis (metaplasia) in spleen and liver

- Fibrosis is a secondary reaction (mgkcs and platelets contribute to fibrosis).

- Middle aged to older people, rarely in children.

- Defective platelets (dysplastic megakaryocytopoiesis) and early cell death.

Dz assoc c JAK2 gene mutations (~50% pts) and MPL and CALR gene mutations

 

Anemia, abdominal pain, indigestion, fullness after eating (splenomegaly), anorexia and weight loss, fever, night sweats, lethargy and weakness.

- may look ashen; have HSmgaly, petechiae, epistaxis

 

Dz has long peaceful periods marked by life-threatening hemorrhagic or thrombotic events

_____________________________________

PB findings

- Mild normochromic, normocytic anemia

- Dacryocytes (cells’ tortuous circulation through enlarged spleen)

- Occasional NRBC, mild reticulocytosis.

- Giant, agranular platelets

- Rare megakaryocyte fragments.

- Occasional immature myeloid cells

- Rare myeloblasts

- Elevated serum vitamin B12 and vitamin B12 carrying capacity

- Variable (normal to increased) LAP

 

BM findings

“Dry tap” - no aspirate.

- Reticulin fibrosis and collagen deposition

- Hypocellularity

- Increased number of megakaryocytes

_____________________________________

 

Can mimic ET and PV, BMBx helps to differentiate

- morphologic features (dacryocytes in PB) can help differentiate, but are variable

_____________________________________

Dx Criteria (need all 3 major and 2 minor):

Major

1.) Mkc prolif + atypia, c fibrosis (if no fibrosis, then need hypercellular BM)

2.) No PV, BCR-ABL1 CML, MDS or other neoplasm

3.) (+) JAK2 V617F or other marker (ie MPL W515K/L)

 

Minor

1.) Leukoerythroblastosis        2.) Inc serum LDH        3.) Anemia        4.)S-megaly

_____________________________________

Genetics:

del(13)(q12-22) or der(6)t(1;6)(q21-23;p21.3) is very suggestive but not diagnostic of PMF

- del(20q) and partial trisomy 1q are the MC recurrent abnormalities

_____________________________________

Px

Survival from months to decades depending on the stage at first diagnosis

- worse Px in pts >70 yo, Hgb < 10, plt < 100k, and abnormal karyotype

 

Death from BM failure, portal HTN, thrombosis, CHF and AML

- AML may be part of the natural progression of the dz

 

Hemorrhage, infection, or cardiac complications are the immediate cause of death (cytoreduction and phlebotomy may help this)

- can develop fibrosis over time ("Burnt-out phase")

- 5%-8% transform into AML.

 

PMF advanced stage with blue collagen fibrosis, osteosclerosis

Intrasinusoidal hematopoiesis with sinus megakaryocytosis is a hallmark of this disease [2]

ET vs PMF [9]

FIGURE 6 Algorithm for distinguishing essential thrombocythemia (ET) from pre–primary myelofibrosis (PMF). LDH, lactate dehydrogenase; MPN,U, myeloproliferative neoplasm, unclassifiable. In cases with thrombocytosis and JAK2 mutation, first exclude polycythemia vera by using World Health Organization 2016 criteria. This conservative approach prevents false-positive diagnosis of PMF, but rare early cases of pre-PMF may be missed and called ET or MPN,U. aIf a diagnosis of MPN,U is rendered, we recommend repeat biopsy in one year. [9]

Distiguishing PMF, AIMF, and MDS-F [9]

Essential Thrombocythemia (ET)

_____________________________________

 

- Thrombocytosis in excess of 1000 X 109/L

- Spontaneous aggregation of functionally abnormal platelets

- No apparent cause for thrombocytosis

- Increase in platelet mass

- Disease associated with JAK2 gene mutations (~50% patients have them) and MPL and CALR gene mutations

- Second least common MPN.

_____________________________________

 

Dx criteria (must have all 4):

1.) Plt > 450k for duration of dx process

2.) Mkc prolif on bmbx; no inc/left-shifted granulo-/erythropoiesis, only very rarely has inc reticulin fibrosis

3.) No PV, PMF, BCR-ABL1 CML, MDS or other neoplasm

4.)(+) JAK2 V617F, or if negative, no other reason for reactive thrombocytosis

 

Usually in older pts, but second peak in 30 yo F; though some pts may show vascular occlusion (ie Budd-Chiari) or hemorrhage (mucosal)

Epistaxis, vomiting of blood, easy bleeding.

- Thrombotic events are common.

- Fatigue; HSmegaly; Priapism (arterial or venous thrombosis); Pulmonary emboli; Gangrenous toes

 

No EMH in spleen, although may sequester platelets

_____________________________________

 

PB findings

Thrombocytosis 1000 X 10^9/L.; large platelet aggregates

Platelet anisocytosis;  bizarre forms (agranular, pseudopods)

- Occasional megakaryocyte fragments

- Target cells, acanthocytes, and Howell-Jolly bodies if splenic infarction.

Coagulation studies: abnormal platelet aggregation

 

- will not see leukoerythroblastosis or dacryocytes

 

BM findings

- May have poor aspirate - myelofibrosis.

- Hypercellular marrow with mgkc  hyperplasia.

- giant Mkc's c staghorn nuclei, hyperlobulated, lots of cytoplasm, but not as bizarre as in PMF

- no inc blasts, dysplasia, or significant fibrosis

~ Half have JAK2 V617F mutation

 

Dz has long peaceful periods marked by life-threatening hemorrhagic or thrombotic events

- Few patients progress to MDS or AML, and is usually a results of therapy

 

Life expectancy is near normal bc dz dx'd later in life

_____________________________________

DDx

Secondary thrombocytosis:

- Normal platelet aggregation studies.

- No hepatosplenomegaly

<1000 X 109/L plts.

Causes: infection, inflammation, neoplasms, splenectomy.

__________________________________________

Px: occasional thrombotic or bleeding outsomes

- excellent long-term survival,

- do not develop marrow fibrosis

- <5% progression to AML (little if any increase than the general population)

ET - peripheral smear

Essential Thrombocythemia

Megs look like staghorn nuclei in the biopsy, and like a bunch of grapes in the aspirate [2]

Eosinophilia

_____________________________________

 

• Group of disorders marked by sustained overproduction of eosinophils

• Eosinophilic infiltration and release of mediators may cause damage to multiple organs

• Variable cytologic features

 

Numerous causes, both neoplastic and non-neoplastic

• Broad workup can be daunting

• Methodical algorithmic approach

– Manage ancillary testing

– Ensure thorough, appropriate workup

– Diagnose/exclude specific disease entities

 

Consensus panel 2012, Valent et al.

 

Hypereosinophilia (HE)

• Persistent eosinophilia >1.5 x 109/L on 2 separate examinations (> 1 month) and/or

Tissue HE defined by >20% eosinophils in bone marrow, and/or extensive tissue infiltration determined by a pathologist, and/or marked deposition of eosinophil granules and proteins in tissue

 

Hypereosinophilic syndrome (HES)

• Criteria for HE fulfilled and organ damage/dysfunction due to HE and must exclude other reasons for organ damage

- DDx: CEL,NOS has increased blasts (>2% in PB, >5% in BM; <20% in both) or a clonal cytogenetic abnormality

 

Complication:
-- thrombotic events can occur, requiring amputation

_____________________________________

 

Subtypes of Hypereosinophilia

• Hypereosinophilia (HE)

– HEFA (familial), HEUS (undetermined significance), HEN (neoplastic), HER (reactive)

• Hypereosinophilic syndrome (HES)

– HEI (idiopathic), HEN, HER

• Eosinophil-associated single-organ diseases

– Specific syndromes accompanied by HE: e.g. EGPA

– Other conditions accompanied by HE: e.g. eosinophilic esophagitis

 

FA, familial; US, undetermined significance; N, neoplastic; R, reactive; I, idiopathic

_____________________________________

Approach to Eosinophilia

• Systematically collect data!

• Exclude secondary causes

• Assess for a primary clonal disorder

– Specific treatments for certain diseases (eg, TKI in CML, PDGFRA-rearranged)

• Idiopathic HE/HES is a diagnosis of exclusion

- Can be fairly overwhelming as to how and where to begin

• Cases are uncommon too

• Clinical practice guidelines/algorithms

– Reiter A, Gotlib J: Myeloid neoplasms with eosinophilia. Blood. 2017; 129: 704–714

– Wang SA. The Diagnostic Work-Up of Hypereosinophilia. Pathobiology. 2019;86(1):39–52

– Boyer DF. Blood and Bone Marrow Evaluation for Eosinophilia. Arch Pathol Lab Med. 2016;140(10):1060–1067

– Butt NM, et al. Guideline for the investigation and management of eosinophilia. Br J Haematol. 2017;176(4):553–572

– Fang H, et al. A Test Utilization Approach to the Diagnostic Workup of Isolated Eosinophilia in Otherwise Morphologically Unremarkable Bone Marrow: A Single Institutional Experience. Am J Clin Pathol. 2018;150(5):421–431

 

Approach to PB and BM Eosinophilia

• Helpful if clinical history, lab studies provided

– Skin lesions, tryptase, splenomegaly, known diagnosis…

• Eosinophil cytology

– Normal: 2-3 lobes, red-orange large granules pack the cytoplasm

– Abnormal: Alterations in segmentation and granulation, vacuolization

– Abnormal cytologic features are seen more often in primary clonal states but are not exclusive

– Eosinophil cytology (abnormal) should not be used alone to indicate clonal eosinophilic disease

 

Assess for additional pathologic clues

– PB: Monocytosis, dysplasia, increased or abnormal blasts, basophilia

– BM: Cellularity, megakaryocyte morphology, fibrosis, dysplasia, abnormal mast cells/clusters, lymphoid infiltrates, granulomas, metastasis, organisms

_____________________________________

 

Hyper-IgE syndrome

Triad of eczema, recurrent skin infections, and elevated IgE levels

- pathogenesis due to skewing of TH2 differentiation, which produce increase IL-4, IL-5, and IL-13

- most common form of autosomal dominant hyper-IgE syndrome results from dominant negative mutations STAT3

- shares some features wiht Wiscott-Aldrich syndrome

LASOP lecture, Dr. Reichard, 1/18/2020

Distinguishing HES from CEL (WHO 2016)

Drug Rash with Eosinophilia and Systemic Symptoms (DRESS)

 

Originally described in response to phenytoin, usually occurs 2-6 weeks after drug exposure

- patients have a rash, in addition to lymphadenopathy and fevers

 

reactivation of herpesvirus (esp HHV6) has been implicated in the pathogenesis

 

May mimic a hematologic malignancy!!

- may show increased Langerhans cells, similar to LCH

- can be in lymph nodes with very high CD30 cells! (see image)

 

Micro:

 

- high fatality rate (10%) usually due to fulminant hepatitis or macrophage activation syndrome

Lymphocytic variant of hypereosinophilic syndrome (LV-HES)

• Cytokine-driven eosinophilia due to overproduction of eosinophil growth factors by T-cells

• CD3(-), CD4(+), CD5(+), CD7(-) phenotype, but criteria for peripheral T-cell lymphoma is not met

• Often a minority of circulating cells (<20%)

• Cutaneous manifestations

• Often responsive to steroid therapy (try to eliminate the T-cell clone)

 

Updates in Eosinophilia

• Myeloid/Lymphoid neoplasm with eosinophilia with recurrent genetic abnormality

• Distinct category originated in the WHO classification in 4th edition (2008)

• Recently expanded to include PCM1-JAK2 in the revised 4th edition (2017)

• Increasing recognition of additional genetic variants

 

Beware of diagnostic pitfalls in eosinophilic disorders

• Morphologically occult/subtle infiltrates

• Abnormal eosinophil cytology is not synonymous with clonal disorder of eosinophils

• Absence of eosinophilia to alert one to a recurrent genetic abnormality

• Atypical presentation (extramedullary, lymphoblastic leukemi/lymphoma)

• Cytogenetically cryptic cases

Lymphocytic variant of hypereosinophilic syndrome (LV-HES)

Idiopathic Hypereosinophilic Syndrome (IHES)

_____________________________________

 

• Diagnosis of exclusion

 

– All reactive/secondary causes of hypereosinophilia

 

– Lymphocyte-variant of HES

 

– CEL, NOS

 

– WHO-defined myeloid malignancies (eg, AML, MPN)

 

– WHO-defined MLNE with eosinophilia with PDGFRA, PDGFRB, FGFR1 and PCM1-JAK2

__________________________________________

Px:

Generally does better than CEL

Hypercellular bone marrow with panhyperplasia; All ancillary studies are negative... Diagnosis? = Idiopathic hypereosinophilic syndrome (IHES)

 

Chronic Eosinophilic Leukemia (CEL) - not otherwise specified

_____________________________________

 

- Autonomous, clonal proliferation of eosinophilic precursors in PB, BM, and peripheral tissues

 - Analogous to CML or CNL

- Eosinophilia (>1.5x109/L) in PB

 

and...

(- Blasts increased in PB (2%-19%) and/or in BM (5%-19%)

 

 or

 

Clonal abnormality

- Cytogenetic: +8, iso(17q)

- Molecular genetic: JAK2 occasionally

- Excluding BCR/ABL1, and rearrangements of PDGFRA, PDGFRB, and FGFR1 )

_____________________________________

 

Diagnostic criteria:

1. Eosinophilia (eosinophil count > 1.5 x 109/L)

2. WHO criteria for BCR-ABL1 positive chronic myeloid leukemia, polycythemia vera, essential thrombocythemia, primary myelofibrosis, chronic neutrophilic leukemia, chronic myelomonocytic leukemia and BCR-ABL1 negative atypical chronic myeloid leukemia are not met

3. No rearrangement of PDGFRA, PDGFRB or FGFR1, and no PCM1-JAK2, ETV6-JAK2, or BCR-JAK2 fusion

4. Blast cells constitute <20% of the cells in the peripheral blood and bone marrow, and inv(16)(p13.1q22), t(16;16)(p13.1;q22), t(8;21)(q22;q22.1), and other diagnostic features of acute myeloid leukemia are absent

5. There is a clonal cytogenetic or molecular genetic abnormality“ OR blasts account for >2% of cells in the peripheral blood or > 5% in the bone marrow

 

BM hypercellular c eos, normal blast #'s (up to 20%); Charcot-Leyden crystals are present; fibrosis is common (from eo degranulation)

 

- dysplastic megakaryocytes also common in CEL ;7]

 

Leukemic infiltration and release of eo contents can cause organ damage

 

Blast counts should be <20% w/o BCR-ABL1, Ph chromosome or PDGFRA

 

HyperEosinophilic Syndrome (HES) is persistent eosinophilia for 6 months w/o organ damage or evidence of eosinophilic clonality

 

Occurs mainly in adult men who are asymptomatic, but may have pruritis, angioedema, fatigue, diarrhea

 

DDx

must exclude Reactive eosinophilias (***NAACP: Neoplasia, Allergies, Asthma, Collagen vascular diseases, Parasites), Medications,

- Hypereosinophilic Syndrome (HES; Persistent eosinophilia; Blasts not increased in PB or BM; No evidence of clonality);

- Loeffler's syndrome, angiolymphoid hyperplasia, Kiruma's disease

- other neoplasms that release IL's (Hodgkin's, SM) must be excluded

 

Border of IHES and CEL, NOS: Role of Morphology

• Study evaluated IHES vs CEL, NOS for increased blasts, hypercellularity, abnormal megakaryocytes, dyserythropoiesis and dysgranulopoiesis, markedly elevated M:E ratio and fibrosis, and abnormal eos

• Conclusion: Bone marrow morphology serves as a strong discriminator between CEL, NOS and reactive IHES

 

Genetics:

Rearrangements of PDGFRA, PDGFRB, FGFR1, BCR-ABL1 must be excluded

- occasionally pts have JAK2 mutation

- X-linked polymorphism analysis of PGK or HUMARA genes in females can be used to demonstrate clonality sometimes

- STAT5B mutations by NGS has been associated with eosinophilia in lymphoid and (rarely) in myeloid neoplasms


Survival is variable (~80% at 5 years)

- S-megaly, inc blasts, dysplasia, and cytogenetic abnormalities have poor prognosis

 

Myeloproliferative Neoplasm, Unclassifiable

_____________________________________

 

Useful in pts with definite features of MPN, but do not meet criteria of a specific MPN.

- may be as much as 15% of all MPN cases

 

Usually fall into one of these categories:

1.) early stage of PV, PMF, or ET, where features are not yet fully developed

2.) advanced stage MPN where fibrosis or other features obscure the real disease

3.) pts c MPN where a neoplasm obscures the underlying disorder

 

Must consider possibility that dz is not an MPN

- do not just use as trashcan for inadequate sampling or recent cytotoxic tx

 

Dx / DDx / Genetics

 

May be difficult to differentiate between early stages of ET, PMF and PV

- PB findings in these can be highly variable, and BM shows hypercellularity with proliferation in all lineages

 

Late stage disease of MPNs will show lots of fibrosis and exact dx may be impossible without previous labs or bmbx

- inc Mgkcs will help to differentiate from CML in these cases

- should be cautious for MDS or AML progression

 

MPN is excluded (as usual) if BCR-ABL1, Ph chromosome, or PDGFRA positive and JAK2 may be the only positive genetic finding

_____________________________________

 

Px is similar to the stage of whichever dz that eventually evolves, with highly advanced dz states having a worse px

 

Mastocytosis

_____________________________________

 

Mast cell proliferation that accumulates in 1+ organ systems

- NOTE: mastocytosis is no longer considered an MPN

 

Dx'ing the subtype depends on location of the dz

 

clumps of 15+ strangely appearing ( usually spindly w ugly nuclei) mast cells which may be found in various organs (in BM for SM)

 

-these clumps are also rarely seen in pts in reactive states, tx'd w stem cell factor, or in mast cell leukemia... must differentiate

 

- these clumps may be arranged in bands, often have dense central mastocytic core

 

 

Cutaneous Mastocytosis (CM)

_____________________________________

 

May occur at any age: Cutaneous Mastocytosis (CM) MC in before 6 mo age, Systemic Mastocytosis (SM) is MC in teens

 

Sx / DDx / Dx

 

Darier's sign (urticaria upon palpation) in 80%; may cause bullous mastocytosis (blistering) if severe

- Urticaria Pigmentosa = Darier's sign + melanin accumulation

--BM almost always involved in systemic lesions, yet 50% have cutaneous signs

-- having skin lesions assoc w better prognosis

 

- other diagnostic criteria: one quarter of mast cells look strange on bx of any organ, KIT 816 mutation, mast cells w CD2/25 on bx of any organ, serum tryptase > 20

 

Giemsa/ toluene blue/ napthol-ASD-chloroacetate esterase (CAE) can detect mast cell granules

-- they do not express MPO

_____________________________________

 

IHC: (+) tryptase, chymase (more specific, less sensitive), CD117(nonspecific)/ 2/ 25(not on normal mast cells)/ 9/ 33/ 45/ 68

- mast cells lack CD14/15/16 and most B-/T-cell markers

 

Genes: KIT mutation activates the tyrosine kinase domain, provides resistance against imatinib (a tyrosine kinase inhibitor)

 

- MC (33%) is Val for Asp at codon 816 (D816V) in peds c CM

 

 

3 major variants:

1.) Urticaria Pigmentosa (UP)/maculopapular cutaneous mastocytosis (MPCM)

- MC variant; spindly mast cells fill papillary dermis, extend to reticular dermis

2.) Diffuse cutaneous mastocytosis

- diffusely thick skin c peau d'orange; band-like mast cell infiltrates

3.) solitary mastocytoma

- single lesion that may extend to subdermis, no atypia; exclusive to infants;

 

- must also not display signs of SM

 

 

Systemic Mastocytosis (SM)

_____________________________________

 

needs either 1 major + 1 minor or 3 minor criteria:

 

Major: mast cell clumps on bmbx or bx of other non-skin organ

 

Minor:
1. in bm/non-skin bx > 1/4 mast cells are spindled / atypical

2. 816 KIT activating point mutation found

3. Mast cells expressing CD 2/25

4. Serum tryptase > 20 (must exclude assoc clonal myeloid disorder to use)

 

BM almost always involved

 

B ("burden of disease") findings

1. High mast cell burden (>30% BM mast cells in aggregates and serum tryptase >200)

2. Signs of dysplasia or myeloproliferation, although does not meet criteria for an associated hematologic neoplasm (AHN) with normal or only slightly abnormal blood counts

3. Hepatomegaly without impairment of liver function, palpable splenomegaly without hypersplenism or lymphadenopathy on palpation or imaging

 

C ("cytoreduction-requiring") findings

1. BM dysfunction caused by neoplastic mast cell infiltrates, manifested by >=1 cytopenia

2. Palpable hepatomegaly with impairment of liver function, ascites, or portal hypertension

3. Skeletal involvement with large osteolytic  lesions

4. Palpable splenomegaly with hypersplenism

5. Malabsorption with weight loss due to GI mast cell disease

 

Variants of systemic mastocytosis:

 

Indolent Systemic Mastocytosis

- meets general criteria for systemic mastocytosis

- No C findings

- No evidence of associated hematologic neoplasm

- Low mast cell burden

- Skin lesions almost always present

 

Bone marrow mastocytosis

- same as indolent SM, but with BM involvement and no skin lesions

 

Smoldering systemic mastocytosis

- meets criteria for SM

- >= 2 B findings, no C findings

- No evidence of associated hematologic neoplasm

- High mast cell burden

- Does not meet criteria for mast cell leukemia

 

Systemic Mastocytosis with an associated hematologic neoplasm

- meets criteria for SM

- meets criteria for an associated heme malignancy (MDS, MPN, AML, etc)

 

Aggressive systemic mastocytosis

- meets criteria for SM

- >=1 C finding

- Does not meet criteria for mast cell leukemia

- skin lesions usually absent

 

Mast cell leukemia

- meets criteria for SM

- Bmbx shows diffuse infiltration by atypical immature mast cells

- BM aspirate shows >20% mast cells

- in classic cases, mast cells >10% of PB WBCs (although aleukemic variant is more common)

- skin lesions usually absent

 

In SM, if mast cell inflitrates are exclusively round (not spindled) and tryptase-positive, may dx tryptase-positive round cell infiltration of BM (TROCI-BM)

- the TROCI-BM cells may be mast cells, basophils, or myeloblasts

- cellularity changes in area around mast cells should be noted bc affects prognosis

-- eosinophilia and fibrosis also common in these areas

 

DDx: if considering SM and KIT D816V mutations are negative, consider testing for PDGFRA rearrangements (may be MLNsEO with PDGFRA)

 

 

Systemic mastocytosis diagnostic criteria

Mast cell sarcoma

_____________________________________

 

Mast Cell Leukemia: (+) SM dx criteria and >20% mast cells on aspirate smear. Diffuse infiltration of weird mast cells on bmbx (promastocytes or metachromatic blasts); usually w >10% mast cell on peripheral smear

 

Mast Cell Sarcoma: High-grade cytology, destructive, unifocal collection of mast cells; w/o SM

 

Extracutaneous mastocytoma: unifocal tumor w low-grade histo; nondestructive. No SM or skin lesions. IHC: (+) 9, 33, 45, 68, 117, tryptase, chymase (more specific, less sensitive); (-) 14, 15, 16

 

Tx / Px

 

"Findings" used in assessing various degrees of mastocytosis (eg indolent or aggressive):

"B" findings:

1. bmbx w > 30% mast cells and/or serum typtase > 200

2. dysplasia in other lineages, but not enough to make a dx (AHNMD), w normal (or almost normal) blood counts

3. Organomegaly (of liver / spleen / lymph nodes) w/o organ dysfunction

 

"C" findings:

1. BM related cytopenia in any lineage w/o malignancy in that lineage

2.  Hepatomegaly w liver dysfunction

3. Osteolytic lesions and/or pathologic fractures

4. Palpable spleen w hypersplenism

5. Malabsorption w wight loss from GI mast cell infiltrates

 

Prog: favorable in kids, may regress spontaneously around onset of puberty. Mast cell leukemia pts live only a few months. Those w indolent dz have normal life expectancy.

 

 

Myeloid / lymphoid neoplasms with eosinophilia and gene rearrangement

Rare; Mutated pluripotent (lymphoid-myeloid) stem cell; Eosinophilia

PDGFRA: CEL, AML, T-LBL

PDGFRB: CMML with eos, AML

FGFR1: T-LBL with eos, CEL, preB-ALL, AML

 

Both cytogenetics and molecular genetics should be performed in MPNs, ALs, LBLs with eosinophilia

Large number of chromosome translocations

- Fusion gene encodes abnormal tyrosine kinase

- Tyrosine kinase inhibitors may be effective

- PDGFRA and PDGFRB abnormalities are imatinib (Gleevec) responsive

 

All these abnormalities come from a tyrosine kinase gene aberrantly expressed (thus respond to tyrosine kinase inhibitors [save FGFR1, which doesn't])

- usually see eosinophilia, but not necessary

- probably derived from pluripotent stem-cells

 

PDGFRA assoc c chronic eosinophilic leukemia (CEL), and lots of mast cells and sometimes neutrophils

- can present as AML or T-LBL, c assoc eosinophilia

 

PDGFRB has variable presentation, but usually similar to CMML c eosinophilia

 

FGFR1 has a lymphomatous presentation (T-LBL c eosinophilia)

PDGFRA rearrangement

FISH for CHIC2 deletion --  Arrows indicate loss of CHIC2 signal

FISH PROBES: FIP1L1(G)/CHIC2(R)/PDGFRA(A)[4q12]

Myeloid neoplasm with eosinophilia and PDGFRA-FIP1L1

FIP1L1-PDGFRA fusion abnormally activated tyrosine kinase therapeutic target of imatinib (Gleevec)

Abnormal eosinophil morphology in peripheral blood from a 49-year-old man (case 142) with PDGFRA rearrangement.Eosinophils show abnormal nuclear hypersegmentation, ring form, uneven granulation, or hypogranulation [6]

Myeloid/lymphoid neoplasms (M/LNEo) with PDGFRA rearrangement

_____________________________________

 

 

Rare dz; MC in males (17:1 M:F) in 40's; MC rearrangement is FIP1L1-PDGFRA from 4q12 deletion

 

Diverse morphologic spectrum usually associated with hypereosinophilia

- Presents as CEL, AML, or T-LBL, or all of these at the same time

- blasts <20%, unless AML present

- BM + PB always involved; most organ systems also involved (spleen usually enlarged, skin GI heart lungs CNS etc also); pts present c fatigue or c sx assoc c organ involvement (S-megaly)

-- serum tryptase elevated, but less so than in mast cell dz

• Extramedullary presentation is common ~50% of cases and it can be the primary site of PDFGRA-rearranged neoplasm

• Eosinophilia may be absent (10-20%)

- B12 is usually elevated (versus normal in systemic mastocytosis)

_____________________________________

 

Micro: Mature, normal-looking eos seen in PB (few precursors); Charcot-Leyden crystals may be seen in tissue sections

BM hypercellular c inc blasts; may appear similar to Systemic Mastosis c inc CD25+ spindly mast cells; reticulin inc

- 2/3 of SM have CD2/25+ mast cells, whereas PDGFRA usually CD2(-)/CD25(+)

_____________________________________

 

Genes: Cytogenetically cryptic (>90%)

• Locus 4q12

• Most common fusion partner FIP1L1

• Exquisite sensitivity to tyrosine kinase inhibitor

 

Nested RT-PCR often necessary to detect abnormalities on cytogenetics (which is usually normal)

- using probe for CHIC2 gene c FISH may be helpful; other fusion genes may be present

 

If rearrangement of PDGFRA by FISH is negative and suspicion is high use other molecular methods (RNAseq, SNP-CN microarray)

_____________________________________

 

DDx: Aberrant mast cell proliferations (ie considering systemic mastocytosis) in the absence of a KIT mutation are a helpful feature – ~40% of cases – do not make SM diagnosis

-- therefore, when considering Systemic Mastocytosis and is negative for KIT D816V mutation, test for present of PDGFRA

- systemic mastocytosis is resistant to imatinib

_____________________________________

 

Tx: Pts very responsive to imatinib (100x more so than in CML), complete hematologic remission usually acheived in almost all patients in 1 month

_____________________________________

 

Px favorable if pt has no cardiac damage

 

Myeloid/lymphoid neoplasms with PDGFRB rearrangement

_____________________________________

 

Rearrangement usually t(5;12)(q31~33;p12) with ETV6-PDGFRB fusion gene formed

 

Diverse morphologic spectrum usually associated with hypereosinophilia and monocytosis

– CMML, CEL, extramedullary myeloid tumor, rare B-LL

• Usually cytogenetically evident (>95%)

• Locus 5q32

• Diversity of fusion partners: often ETV6

• Exquisite sensitivity to tyrosine kinase inhibitor

 

Presentation most often similar to CMML or an atypical CML c eosinophilia

- MC in males in 40's

 

May rarely be cytogenetically cryptic: high index of suspicion, pursue additional testing methods

• Extramedullary presentation may occur/LN with lymphoblastic lymphoma

• Eosinophilia may be absent/mild (~ 20%)

• Atypical mast cell proliferation may serve as a clue

 

PB shows leukocytosis c anemia and Tbc-penia, with individual WBC lines variably changed

_____________________________________

DDx: BM shows inc mast cells, which can be spindly, with reticulin (possibly) increased; blasts less inc in chronic phase

- mast cells CD2/25 (+), concerning for systemic mastocytosis (SM)

_____________________________________

Genes: ETV6-PDGFRB fusion gene present c t(5;12)(q31~33;p12)

- lots of variants are possible; appropriate FISH studies should be conducted

_____________________________________

Tx: Survival has increased from less than 2 yrs to almost 6 years using imatinib

- treatment with imatinib may be considered in patients with eosinophilia not responding to conventional treatment, assuming that they may have a cryptic PDGFRA or PDGFRB translocation [6]

- cardiac involvement important in determining px

 

Myeloid neoplasm with eosinophilia and PDGFRB-rearrangement - CMML-like presentation

Myeloid/lymphoid neoplasms with FGFR1 rearrangement

 

Although derived from pluripotent hematopoietic stem cells, disease may present with precursor or mature cells

- may present as an MPN, AML, or T/B-cell lymphoblastic lymphoma/leukemia (last of these assoc c t(8;13)

- eosinophilia in 70% of cases

 

Has only moderate male predominance, and presents a little bit younger (in 30's)

- multiple organ systems usually involved, and can present with sx related to organ involvement or more constitutional sx

- considered to have a widely variable clinical presentation

_____________________________________

 

DDx: similar to diseases with PDGFRA and PDGFRB mutations, may have spindly mast cells positive for CD25, leading one to think of systemic mastocytosis, but should order the PDGFRA, PDGFRB, and FGFR1 mutation analysis if KIT D816V mutation absent

_____________________________________

 

Genes: Presence of t(8;13)(p11;q12) or variant leading to FGF1 mutation necessary to dx

- trisomy 21 can often be seen

- multiple reported fusion partners

_____________________________________

Px is poor; imatinib has little effect

- interferon has worked in a few pts

 

MLN with FGFR1 [8]

Myeloid/lymphoid neoplasms with PCM1-JAK2 rearrangement

 

New provisional entry in 2016 c t(8;9)(p22;p24.1); PCM1-JAK2

- has combo of eosinophilia with left-shifted erythroid predominance, lymph aggs, and often fibrosis in BM

- can rarely present as T- or B-lymphoblastic leukemia which responds to JAK2 inhibition

- originally described as "Ph-negative neutrophilic myelofibrosis"

_____________________________________

Diverse morphologic spectrum usually associated with hypereosinophilia

– MPN, CEL, MDS/MPN, rare lymphoblastic leukemia/lymphoma

 

Triad [6]:

1) Large immature erythroid islands

2) eosinophilic infiltrates

3) Fibrosis

_____________________________________

Usually cytogenetically evident (>95%)

• Locus 9p24

– Should confirm JAK2 involvement by FISH or alternative modality

• Variants of PCM1-JAK2

– JAK2 with BCR and ETV6 partner genes

• Utility of Ruxolitinib not well known

_____________________________________

Px: disease course and prognosis are highly variable

Myelodysplasia / myeloproliferation

Chronic MyeloMonocytic Leukemia (CMML)

`

Clonal hematopoietic stem cell disorders

- MDS as well as MPN features

- Leukocytosis, may exceed 100x109/L

- Persistent monocytosis >1x109/L in PB

- Frequent monocytosis in BM

- <20% blasts + promonos in PB and BM

- Dysplasia in one or more cell lines (usually in the granulocytic lineage)

- MDS/MPN in which the main diagnostic feature is peripheral blood monocytosis

• Some cases follow MDS

• Some cases are therapy-related

Mast cell aggregates (SM) may be seen

Presents as B symptoms appearing as an MPN with leukocytosis and S-megaly

- hallmark is monocytosis in PB (bm often is not really too involved) [8]

 

 

80% have Mgkc abnormalities; 30% have fibrosis and 20% have plasmacytoid monocyte nodules on BM

 

Diagnostic criteria (see table for all 2016 criteria):

CMML-0 has <2% blasts in PB; <5% blsts in BM

CMML-1 has 2-4% blasts PB, 5-9% blasts in BM

CMML-2 has 5-19% blasts in PB, 10-19% blasts BM or if Auer rods are present

 

JAK2 V617F mutation common (vs other BCR-ABL1 negative MPNs)

 

Mild eosinophilia may be present, which can mimic PDGFRA/B neoplasms

 

Myeloproliferative (MP) vs MDS variant

• Myeloproliferative (MP) versus myelodysplastic (MDS) variant

Dysplastic, WBC <13 x 109/L

Proliferative, WBC >13 x 109/L

• MP-CMML had shorter overall survival (21 vs 34 months) compared with MDS- CMML.

- the dysplastic and proliferative types have different mutation profiles and prognoses

 

IHC: CD14 more mature monocytes; lysozyme highlights monocytes and myelomonocytic component

• Flow cytometry better suited

• Monocytic cells: variable expression of CD14, typically co-express CD36/CD64, HLA-DR and CD13 may be diminished, CD33 (bright), CD15 variable, +/- CD56

 

Alpha napthyl acetate/butyrate esterase alone or in combo c CAE good in assessing monocytic component

- other monocytic antigens are CD13 and CD33

-- CD56 overexpression or CD2 aberrant expression seen

 

Plasmacytoid dendritic cell (pDC) nodules in CMML

• Present in approx. 20% of cases

• Appears to be clonally related to the CMML

• Not equivalent of BPDCN

 

Plasmacytoid dendritic cells have (+) CD123/14/43/68/45RA/33(weak)/4

 

Genes:

Most commonly mutated genes are SRSF2, TET2, and/or ASXL1 (>80%)

- SETBP1, NRAS,KRAS, RUNX1, CBL, EZH2 less common

- ASXL1 mutated CMML have shorter overall survival and shorter AML-free survival

Cytogenetics:

– Abnormal karyotypes seen in 20-30%

– Common: +8, (-Y), -7/del7q,complex

– Several proposed cytogenetic risk categorization schemes

 

- NPM1 mutation or 11q23 (KMT2A) rearrangements may herald rapid progression to AML and patient should be followed closely

 

Molecular genetics

– Wide spectrum of abnormalities

– Most common: TET2 (60%), SRSF2 (50%), ASXL1 (40%) and RAS (30%)

• Frameshift and nonsense ASXL1: worse OS

 

DDx

Reactive monocytoses: malignancy, infection, inflammation, recovering BM post-chemo, G-CSF tx, TB brucellosis, leishmaniasis, endocarditis

 

Neoplastic: CML, AML, MDS with monocytic progression, MPN with monocytic progression, JMML

 

 

Diagnostic pitfalls

• Monocytosis as a component of a reactive phenomenon – infection, inflammatory conditions such as collagen vascular disease, chronic neutropenia, splenectomy, hemolytic anemia, immune thrombocytopenic purpura

 

• Evolution of CMML-like features in known MPN or MDS. Do not reclassify the disease

• Monocyte morphology: Monocytes vs. abnormal monocytes vs promonocytes (a.k.a. blast equivalents)

 

Monocytosis in classic MPN

• Do not reclassify disease

• Sign of disease progression

• PMF with monocytosis shows higher JAK2 V617F VAF than CMML (42% vs 17%)

- Must do a BM to prove that the disease is not AML with mature circulating monocytes [7]

 

Px:

Average survival is 20-40 months

- AML occurs in up to 30%

 

Blast count is most important prognostic indicator

 

atypical Chronic Myeloid Leukemia (aCML) - BCR-abl1 negative

 

By definition, chronic myeloid neoplasm with myeloproliferative and myelodysplastic features concurrently

• Rare; predominantly adult disease

• Manifests predominantly by involvement of the granulocytic lineage characterized by dysgranulopoiesis

• Largely a diagnosis of exclusion

 

Dysplasia and prolif of neutrophil lineage c leukocytosis from excessive release of neutrophil precursors

 

Clonal hematopioetic stem cell disorder

- MDS as well as MPN features

- Leukocytosis with left-shifted neutrophils

- Dysplastic neutrophils

May be multilineage dysplasia

- BCR/ABL1, PDGFRA, PDGFRB negative

Variety of cytogenetic and molecular genetic abnormalities

- JAK2 mutations reported

-NRAS and KRAS mutations in ~30%

 

Seen in older pts c sx from anemia, tcpenia and Smegaly

 

Diagnostic Criteria

• Peripheral blood leukocytosis >13 x 109/L with neutrophil precursors constituting >10% of leukocytes

• Dysgranulopoiesis

• No or minimal basophilia

• No or minimal monocytosis

• Hypercellular bone marrow with granulocytic proliferation and dysplasia; +/-dysplasia in the erythroid and megakaryocytic lineages

• <20% blasts in the blood in bone marrow

• No evidence of an alternative WHO neoplasm

 

Genes:

No specific recurring genetic abnormalities

– Trisomy 8, deletion 20q, monosomy 5 seen in a variety of myeloid malignancies

• Driver mutations of MPN (JAK2, CALR and MPL) are typically absent

– 5% of aCML have JAK2

• <10% with CSF3R mutation (mainly CNL)

 

MC mutations are SETBP1 and ETNK1

- rarely (<1/10) has CSF3R (seen in CNL)

- the driver mutations (JAK2, CALR, and MPL) are typically absent in aCML

 

Mutations and Frequency

SETBP1 10-48%

ETNK1 10%

– NRAS 10-30%

– CSF3R <10% (mostly in CNL)

 

DDx: Reactive (eg infection, stress, growth factor, etc)

• Chronic neutrophilic leukemia (CNL)

• CNL-like proliferation (underlying plasma cell proliferative disorder/myeloma, solid tumor)

- CML (BCR-ABL1 present)

- CMML (>10% monocytes in blood)

- Genetically-defined eosinophilias (blood eosinophilias, PDGFRA, PDGFRB, FGFR1, PCM-JAK2

 

Poor prognosis

- survival up to 30 months

-BMT may help survival

 

Up to 40% evolve into AML, remainder die of BM failure

 

aCML dysgranulopoiesis in PB

aCML granulocytic dominance

aCML hypercellular c granulocytic proliferation

 

Juvenile MyeloMonocytic Leukemia (JMML)

 

Childhood disorder (male predominance) with granulocytic and monocytic proliferation with low blast counts and characteristic RAS/MAPK mutations, usually minimal dysplasia

- assoc c NF1 (10-20% of cases; thus not a criterion)

- kids c Noonan syndrome get a JMML-like dz that resolves spontaneously

- Blasts + Promonos <20% in PB and BM

 

Present c S-megaly, enlarged tonsils, B symtoms, inc HgF, can have skin and spleen infiltrates

 

Diagnostic criteria:

I. Clinical + hematologic features (need all 4)

1.) Monocytosis in PB
2.) (Blasts + promyelocytes) <20% in PB and BM; (will never see Auer rods)

3) Splenomegaly

4.) No Ph chr or BCR-ABL1 fusion gene

 

II. Genetic findings (1 sufficient)

- Somatic PTPN11 or KRAS or NRAS

- Clinical diagnosis of NF or NF mutation

- Germline CBL mutation and LOH of CBL

 

III For pts w/o genetic features, besides the clinical and hematologic features under I, must have:

- monosomy 7 or any other chromosomal abnormality, or at least 2 of the following:

- Inc HbF; Immature granulocytes in PB; GM-CSF hypersensitivity of myeloid progenitor cells in vitro; hyperphosphorylation of STAT5

 

PB is most important in dx'ing; see anemia, inc leukos and Tbcpenia

- napthyl acetate/butyrate acetase c NAE good for viz monocytes

 

Can mimic infx (Ebstein-Barr, CMV, herpes)

 

~65% have normal karyotype, ~25% monosomy 7

- BCR/ABL1 negative

- RAS and MAPK pathway mutations are characteristic

- PTPN11 gene mutations, SHP-2 phosphatase

- RAS gene mutations

- NF1 gene inactivation

Increased cellular sensitivity to GM-CSF

Hematopoietic stem cell transplantation

Monosomy 7 in 25%; 65% have normal karyotype

 

DDx: Leukemoid reaction, CML (can occur in kiddos, but very rare), kids c Noonan syndrome have PTPN11 mutation encoding SHP2 or in KRAS

 

Px: Rapidly fatal if left untreated

- need stem cell transplant or die in 1 year

-- rarely transforms to AML

 

JMML - myeloid predominance with a left-shift

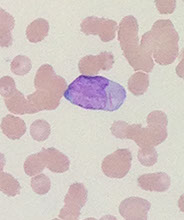
Myelodysplastic /myeloproliferative neoplasm with ring sideroblasts and thrombocytosis (MDS/MPN-RS-T)

 

aka RARS-T (former name refractory anemia with ring sideroblasts and thrombocytosis)

- New entity in the MDS/MPN category

- has thrombocytosis, refractory anemia, dyserythropoiesis, and ringed sideroblasts which are >15% of erythroid precursors

- Cases that fulfill the diagnostic criteria for MDS with isolated del(5q) or that have t(3;3)(q21.3;q26.2) or inv(3)(q21.3;q26.2) cytogenetic abnormalities and cases with a BCR-ABL 1 fusion gene are excluded

 

Assoc c SF3B1 (which is assoc c presence of ring siderblasts) and is usually assoc c comutated JAK2 V617F or less freq c CALR, or MPL genes

 

Diagnostic Criteria

• Anemia associated with erythroid lineage dysplasia, with or without multilineage dysplasia; >15% ring sideroblasts, need >15% RSs even if SF3B1 mutation present

- < 1% blasts in the peripheral blood and < 5% blasts in the bone marrow (no excess blasts)

• Persistent thrombocytosis, with platelet count >450 x 109/L

• No history of MPN, MDS (except myelodysplastic syndrome with ring sideroblasts - only exception where you can change the previous diagnosis of an MDS!!!), or other MDS/MPN

- SF3B1 mutation (in 90%) or, in the absence of SF3B1 mutation, no history of recent cytotoxic or growth factor therapy that could explain the myelodysplastic/ myeloproliferative features

- JAK2 mutation in 60%

• Absence of BCR-ABL1 fusion; no rearrangement of PDGFRA, PDGFRB or FGFR1; no PCM1-JAK2 and no t(3;3)(q21.3;q26.2), inv(3)(q21.3q26.2), or del(5q)

 

Genes: Cytogenetic abnormalities uncommon

• SF3B1 mutation seen in >70% of cases

• SF3B1 often (50-60%) seen concurrently with an MPN driver gene mutation (eg, JAK2, MPL, CALR) (majority are CALR)

• Even though these mutations are not needed for the diagnosis, may be helpful to support if on the fence (MDS vs ET)

 

Px: Much worse than ET

• Better if SF3B1 and/or JAK2 mutated

 

 

MDS/MPN with ring sideroblasts and thrombocytosis (MDS/MPN-RS-T)

MDS/MPN-RS-T, Hypercellular BM; characteristic megakaryocyte morphology

MDS/MPN-RS-T px

Myelodysplastic / myeloproliferative neoplasm, unclassifiable

 

Usually due to:

1. Thrombocytosis + anemia and erythroid dysplasia, without ring sideroblasts

2. Thrombocytosis  + ring sideroblasts, with excess blasts at initial diagnosis

3. Isolated del(5q) + thrombocytosis, with excess blasts at initial diagnosis

4. Neutrophilia lacking granulocytic dysplasia + dysplasia in another lineage

Typical example of MDS/MPN-U. WBC 10.7, Hgb 11.3, Plt 766. No ring sideroblasts, no monocytosis, normal karyotype, Positive for SETBP1, CSF3R, GATA2, ASXL1 mutations. Can't call atypical CML because no leukocytosis [8]

Myelodysplastic Syndromes

MDS does not progress to MPN, and MPN does not progress to MDS; evolution depends on what the original diagnosis was

- MDS can get fibrosis, JAK2 mutations, and increased megakaryocytes, but you would not say that the MDS progressed to an MPN, just that now you have an MDS with fibrosis [8]

 

Primary, neoplastic, clonal pluripotent stem cell disorders; karyotype often normal or has abnormalities seen in MDS

- One or more cytopenias in blood (ineffective hematopoiesis)

- Maturation abnormalities in bone marrow (dysplasia/dyspoiesis)

- Progressive cytopenias and BM failure c potential evolution to acute leukemias, previously known as “preleukemias

- MC in elderly, rare in children, correlates c advancing age, therapy-induced DNA damage and shorter telomeres

- Males > Females

- may be caused by environmental (chemo/radiation, benzene, smoking, agricultural chemicals) or genetic (Shwachmann-Diamond and Diamond-Blackfan syndromes, Fanconi anemia and dyskeratosis congenita) factors

-- should not call (primary?) MDS if pt is on growth factor therapy (?, ie EPO)

 

Abnormal cells = clones of abnormal stem cell

- c dz progression, abnormal clone predominates

MC mutated genes are SF3B1, TET2, SRSF2, ASXL1, DNMT3A, RUNX1, U2AF1, TP53, EZH2

- >50% have chromosome abnormality at dz

- MC cytogenetic abnormalities: deletions of chromosomes 5 and 7, and trisomy 8

- the number and types of translocations are strongly assoc c outcomes; further genetic events assoc c AML

- TP53 mutation eval recommended in pts c iso(5q) bc assoc c resistance to lenalinomide and assoc c worse px

 

Clonal Hematopoiesis of Indeterminate Potential (CHIP) is acquired clonal mutations identical to those seen in MDS that can occur in hematopoietic cells of apparently healthy older individuals

-CHIP Appears to be a precursor state to MDS

- Analogous to the relationship of MGUS to myeloma and monoclonal B-lymphocytosis to CLL

- Most patients with CHIP do not develop MDS

- In the current WHO classification, CHIP phenomenon precludes the current use of mutations in isolation to diagnose MDS

 

Clonal Cytopenia of Undetermined Significance (CCUS)

- Specific mutation patterns and high mutant allele frequency may confer higher risk of MDS

- Malcovati L et al. Blood 2017;129:3371

- Studied a cohort of unexplained cytopenia

- Mutant allele fraction ≥10%, PPV 0.86; >2 mutations, PPV 0.88 for a diagnosi of a myeloid neoplasm

- Spliceosome gene mutations and comutations of TET2, DNMT3A or ASXL1 mutation had PPV of 0.86-1.00

 

Intrinsic defects in cellular maturation and function associated with both MDS and AML

- Ineffective hematopoiesis secondary to increased apoptosis

-- Increased TNF-alpha in bone marrow mediates apoptosis

-  Abnormal levels of IL-1, IL-6, IL-8 in serum and bone marrow

Decreased apoptosis associated with progression to acute leukemia

 

Primary MDS

Don’t know exact etiologies; De novo

Genetic damage accumulates

- Oncogene activation

- Tumor suppressor gene inactivation

- Impaired apoptosis later in disease course

- Telomerase activation

- usually in older adults

 

Secondary MDS

Therapy-related MDS

- Chemotherapy (e.g. alkylating agents)

- Radiation therapy

Environmental mutagens/toxins (e.g. benzene)

- can be seen in Children

- Constitutional chromosomal disorders (e.g. Down Syndrome)

- Immunodeficiency disorders (e.g. Wiskott-Aldrich Syndrome)

 

Sx

- Fatigue and weakness due to anemia

- Less common sx: Infx + fever 2/2 neutropenia

- Bleeding due to thrombocytopenia

Many persons asymptomatic at diagnosis

Infection and hemorrhage are leading causes of death

Organomegaly is uncommon

 

Cytopenias (anemia, neutropenia, tbcpenia)

- Isolated cytopenia - 35%; Bicytopenia - 30%

- Pancytopenia - 20%

Dysplasia of one or all cell lines typical

- Dyserythropoiesis is the hallmark of MDS

Functional abnormalities are common

- Worse cytopenias = worse prognosis

 

Uni-/bicytopenia c UNI-lineage dysplasia --> RCUD (RA/RN/RT)

"                                " BI-lineage dysplasia (or more; +/- ringed sideroblasts) --> RCMD

Pancytopenia c UNI-lineage dysplasia --> MDS-U

 

Low power morphologic abnormalities in MDS

- hypercellular marrow (80% of cases)

- disorganization of hematopoiesis

-- immature myeloid elements occur away from bone trabeculae

-- erythroid elements fail to form well-defined clusters (no erythroid islands!!!)

- megakaryocytes may cluster

 

Dysplastia is not really reproducible: Font P Ann Hematol 2013;92:19, Parmentier S  Hematologica 2012; 97:723, Matsuda A Leukemia 2007: 21;678, Della Porta MG Leukkemia 2014;29;66

 

Dys-ERYTHRO-poiesis = multinuclear, budding, megaloblastic, karyorhectic nuclei; PAS(+)/vacuoled cytoplasm

- anemia, macrocytes, oval macrocytes, dimorphism, basophilic stippling, nucleated RBCs, Howell-Jolly bodies, sideroblasts, anisocytosis, poikilocytosis, reticulocytosis

 

Dys-GRANULO-poiesis = small, hypo-/hyperlobated nuclei with hypo- or pseudo Chediak-Higashi granules

Neutropenia, hypogranulation, abnormal granulation, left-shift, nuclear hyposegmentation (pseudo-Pelger-Huet, ring nuclei), Auer rods, monocytosis

- presence of Auer rods automatically upgrades to high-grade RAEB-2 or CMML-2, and has poor px, but is not automatically considered AML

 

Dys-MEGAKC-poiesis = hypo-/non-lobate or multiple, separated nuclei and overall small size

Thrombocytopenia to thrombocytosis, giant forms, hypogranulation, micromegakaryocytes, functional abnormalities (abnormal aggregometry)

 

BM findings

Usually hypercellular marrow for age with erythroid hyperplasia, but may see normocellular or hypocellular marrow

Generally increased number of blasts

Generally trilineage dysplasia (dyshematopoiesis)

- Abnormal localization of immature myeloid precursors (ALIP)

 

Cytogenetic abnormalities seen in 50% of MDS

- isolated del(5q) assoc c hypo-/non-lobated Mgkcs, macrocytic anemia, inc platelets, and good px, esp in women

- 17p loss assoc c pseudo PH cells, small vacuolated neuts, TP53 mutation, poor px, and assoc c tx-related MDS

- complex karyotypes assoc c poor px

- isolated del(20q) usually involes erythroid and Mgkcs and good px

- chr 7 changes assoc c poor px

 

Intl. Prognostic Scoring System (IPSS) categorizes % blasts, karyotype, and # cell lines c cytopenia and gives px

- blast % carries the strongest info about px (?)

 

Lab findings

Serum iron - normal or increased

TIBC - normal or decreased

Serum vitamin B12 and folate - normal or increased

- Decreased total numbers of T-cells and T-cell response to mitogens

- Normal numbers of B-cells, but serum hypergammaglobulinemia and circulating immune complexes

Decreased granulocytic oxidative metabolism

Impared granulocytic chemotaxis

 

Avoid MDS diagnosis if potential secondary cause

- drugs/toxins

-- recent (<6 mo) chemotherapy or radiation therapy

- arsenic/heavy metal toxin

- alcoholism

- vit B12/folate dificiency, copper deficiency

- Infections (AIDS)

- Neoplasms

-- involving marrow (esp myeloma, LGL, HCL)

-- Beware of making the DX in young patients!!!!!!!Q!

 

Flow in MDS

- Flow is important to eval for lymphomas that can prsent with cytopenia mimicking MDS

- abnormal flow patterns predict MDS with good sensitivity and specifiicity

---- abnormalities in blasts and maturing elements

- WHO 2017 and ELN guidelines do not permit a dx of MDS s9lely based on flow cytometry

Dysmegakaryopoiesis

Dyserythropoiesis

Dysgranulopoisis

Dysmegakaryopoisis

Meg dysplasia

Granulocytic dysplasia

Erythroid dysplasia [3].

Flow MDS

Refractory Anemia (BM)

MDS-defining cytogenetics, 50% with normal karyotype

MDS vs AIHA, low power clue, MDS is more disorganized, AIHA shows increased erythroid precursors, compensating correctly for the anemia

MDS genetics [3]. A sig portion of healthy pts have somatic MDS-type mutations in hematopoietic cells (DVMT3A, TET2, TP53, SF3B1)

- nc incidence w age

- asoc c inc risk of malig but many never get MDS, called CHIP or  CCUS if pt cytopenic

CHIP and anemia are frequent in elderly pts, while MDS is rare. Ma X Am J Medicine 2012;125: S2, Rollinson DE Blood 2008; 112:45-52, Jaiswal S NEJM 2014;371:2488, Steensma D Blood 2016; 126:9

MDS diagnosis [3], must rigorously exclude secondary causes if diagnosing by morphology, diagnosing MDS in a vacuum is reckless

MDS diagnosis and IPSS-R [3]

MDS risk stratification: both IPSS-R and WHO provide complimentary and clinically relevant data. Malcovati L et al. J Clin Oncol 2005; 237594, Greenburg et al Blood 2012; 120:2454; clinicians may tello pts both WHO category and IPSS risk score

Cytogenetics in MDS, stratifying risk [3]. Schanz et al. J clin oncol 2012 30

Geen px mds [3, listed in dec freq

Figure 6. Hematopathology alphabet soup: a quick comparison. With CHIP, ICUS, CCUS, and MDS. From Albert C. Integrating NGS into the cytopenia workup. CAP Today; May 2022.

MDS diagnostic algorithm tree. From Albert C. Integrating NGS into the cytopenia workup. CAP Today; May 2022.

MDS with single lineage dysplasia

 

Dysplasia and cytopenia in 1 of the 3 cell lines, including: Refractory Anemia (RA), Refractory Neutropenia (RN), and Refractory Thrombocytopenia (RT)

- can have cytopenia in 2 cell lines, but can only have dysplasia in 1

-- Pancytopenia c 1 cell line dysplasia termed MDS-U

 

RCUD comprises up to 20% of all MDS cases

- MC RCUD is RA (RN and RT are very rare)

 

Mean age at dx: 70 years

 

Sx related to specific cytopenia

 

Dyserythropoiesis = megaloblastoid maturation, impaired hemoglobinization and and oval macrocytes

- No dysgranulopoiesis or dysmegakaryocytopoiesis

- WBC and Plts are normal or low.

- Mild to severe anemia

- MCV and RDW usually elevated.

Dysplastic NRBCs, sideroblasts and siderocytes can be seen in the PB

- Reticulocyte count may be  high or low.

<1% blasts in PB, <5% in BM

 

Must have >10% of cells in a particular cell line affected to diagnose dysplasia

 

Must r/o exogenous causes of dysplasia, such as toxins, growth factor tx, viral infx, immunologic / congenital dz, vitamin deficiency / excess (ie zinc supplementation)

 

If no cytogenetic abnormality present, must wait 6 months to dx

 

_____________________________________

Px:

Most cases have good long-term survival px, and only a small % progress to AML

- cytogenetic abnormalities are usually those assoc c good px also

-- 90% + of pts live 2 years +, having similar life-expectancies to unaffected population

 

MDS SLD [3]

Dysmegakaryopoiesis

MDS with ring sideroblasts (MDS-RS)

 

 

Usually requires >15% ring sideroblasts; however the diagnosis can be made with >5% in the presence of SF3B1 mutation

- Secondary causes of ring sideroblasts must be excluded.

<1% blasts in PB and <5% in BM

- Megaloblastoid maturation with impaired hemoglobinization.

- Minimal dysgranulopoiesis / megakaryocytopoiesis

 

SF3B1

- Strong association of MDS-RS with SF3B1 mutation

- Seen in ~70% of MDS-RS cases

- Probable early event in disease development

- SF3B1 is a spliceosome gene

- Favorable clinical outcome

 

Ring sideroblasts are erythroid precursors with mitochondrial Ferritin accumulation

- most likely a defect in mitochondrial iron accumulation and not a primary defect in heme synthesis

-- probably caused by mitochondrial DNA mutation/deletion (ie Pearson marrow-pancreas syndrome)

 

Ineffective erythropoiesis caused by abnormal Fe metabolism that results in Fe deposition in erythroid lineage at early stages

 

Can see evidence of Fe overload in liver and spleen

 

Sx usually related to anemia, though Fe overload sx can be present

 

Anemia is usually normo/normo or normo/macro

- no blasts in PB

 

BM shows increased dysplastic erythoid precursors and (usually) hyperplastic marrow

- often will see hemosiderin-laden macrophages

 

Must exclude use of alcohol, toxins/drugs (Pb, benzene, zinc, isoniazid), Cu deficiency and congenital siderblastic anemia

 

Up to 20% have a clonal abnormality, which is usually of a single chr

 

Avg survival usually more than 5 years

- low % progress to AML

 

MDS RS [3] - abnormal pearls in ring sideroblasts is actually mitochondria, as a string of pearls, can be caused by alcohol and medications / toxins, or hereditary sideroblastic anemia, needs to encircle at least 1/3 of the nucleus

MDS with multilineage dysplasia

 

MDS c dysplasia in 2+ cell lineages

- <1% blasts in PB, <5% in BM; no Auer rods

-- greater % blasts in PB or BM +/- Auer rods should be dx'd the appropriate RAEB

- RCMD may have >15% ring sideroblasts; BM is usually hypercellular

- 30-50% have de novo chromosomal abnormalities

-- usually non-specific; 5q-, monosomy 7 or del(7q)

-- Commonly have multiple abnormalities

 

Mean age at dx >70 yrs c slight male predominance

- Sx related to specific cell line cytopenia

 

Up to 50% of RCMD can have tri 8, mono 7, del (7q), mono 5, del(5q), del(20q) or complex karyotypes

 

Falls in the intermediate px category of IPSS, and depends on the amout of cytopenia and dysplasia

- complex karyotypes have worse px, similar to pts c RAEB

 

Up to 10% progress to AML in 2 years

 

Overall survival is mean of ~2.5 yrs

 

MDS MLD [3]

MDS with excess blasts

 

Same erythroid changes seen in RA or RARS.

Dysplasia and cytopenia of two cell lines.

- More pronounced dysgranulopoiesis

 

MDS c 5-19% blasts in BM or 2-19% blasts in PB; 2 categories (RAEB-1 or RAEB-2)

- RAEB-1 has 5-9% blasts in BM, 2-4% blasts in PB

- RAEB-2 has 10-19% BM blasts, 5-19% PB blasts; Auer rods automatically qualifies as RAEB-2

 

RAEB comprises ~40% of MDS cases

 

Mean age at dx >50 years

 

Risk factors: envt'l toxins (pesticides, petroleum derivatives, heavy metals), cigarette smoking

 

Sx assoc c anemia, tbc-penia, neutropenia

 

All 3 cell lines usually affected, with their own particular dysplastic features (outlined in "MDS overview"); BM usually is hypercellular (but may be normo- or hypocellular)

- erythro- and mgkc-poiesis usually occur in paratrabecular region, which is usually where granulopoietic cells reside

 

15% of all MDS cases have significant fibrosis (highlighted c reticulin stain) and is coined MDS-F, most of which cases are RAEB-F (if other RAEB criteria apply)

- need to exclude non-neoplastic causes of fibrosis (tx, or HIV); and marrow should not have lots of collagen

-RAEB-F can have overlap c Acute Panmyelosis c Myelofibrosis (APMF), which has abrupt onset fever c bone pain

 

CD34/117 helps to highlight blasts, which also have asynchronous CD15/11b/65 expression

- 20% of blasts may show CD7 (poor px), and 10% can have CD56

 

Up to 50% have clonal cytogenetic abnormalities, such as +8, -5, del(5q), -7, del(7q), del(20q) and complex karyotypes

 

25% of RAEB-1 and 33% of RAEB-2 progress to AML; rest succumb to BM failure

 

Mean survival for RAEB-1 is ~1 year; RAEB-2 is <1 year

- high PB blast % in RAEB-2 has px similar to AML (~3 mo survival); whereas survival in those with just Auer rods is slightly higher (~1 year)

- (+) CD7 assoc c poor px

 

MDS EB [3], once you have excess blasts, ring sideroblasts not relevant, and iso del 5q dont matter

Blast counting MDS [3]

Blasts MDS

Blasts! [3]. CD34, even granular forms count. CD117, also stains erythroid precursors but more lightly, and also mast cells darkly, as well as promyelocytes (more useful is CD34 negative). CD61. See megs and 2 micromegs

ALIP [3], clusters of blasts that are CD34+

Myelodysplastic syndrome with excess blasts and erythroid predominance

 

Previously, erythroleukemia (erythroid/myeloid-type acute erythroid leukemia) were cases of myeloid neoplasms where maturing erythroblasts were >50% of the marrow cells and myeloblasts were >20% of non-erythroid nucleated marrow cells

- now blasts are just classified according to the blast percentage of all cells, regardless of the number of erythroid cells

 

Genes: TP53, RUNX1, and ASXL1 mutations assoc with poor px in MDS-EB with erythroid predominance

- NPM1 mutations, which are uncommon in this group, may define a subset with a favorable px if given intensive chemo

Myelodysplastic syndrome with excess blasts and fibrosis (MDS-EB-F)

 

In ~15% of MDS cases, there is grade 2-3 reticulin fibrosis,  and this is termed MDS-F, and most are in the EB category and should therefore be called MDS-EB-F

- marrow fibrosis can also be increased in cases of therapy-related myeloid neoplasms, MPNs, lymphoid neoplasms, and reactive conditions (infx and autoimune disorders), which must be ruled out

 

Micro: megakaryocytes are usually increased and are dysplastic

 

IHC: aberrant CD7 expression in blasts in 20%, aberrant CD56 expression in 10%

 

DDx: acute panmyelosis with myelofibrosis (this entity has an abrupt onset with fever and bone pain, and has a higher blast count)

 

Px: 25% of MDS-EB1 and 30% of MDS-EB2 progress to AML

Myelodysplastic syndrome with isolated del(5q)

 

 

-aka Refractory macrocytic anemia with megakaryocytic abnormalities, or “5q- Syndrome”.

- Stable course, often transfusion dependent

- Female preponderance, elderly

PB is similar to RA, 50% have thrombocytosis

BM has numerous small to medium-sized mononuclear or bilobed megakaryocytes with vacuoles.

 

Updates

No adverse effect on clinical outcome with one additional cytogenetic abnormality except -7 and del(7q)

- The presence of a TP53 mutation is associated with an inferior response in patients treated with lenalidomide

 

MDS  c anemia and no other cell lineage abnormality, that of course has only a del(5q)

- should not have excess blasts in PB or BM and no Auer rods

 

Early Growth Response 1 (EGR1) and CTNNA1 tumor-suppresor genes in 5q32 possible causes

- A gene that encodes ribosomal proteins, RPS14 gene, is another possibility

 

Pt usually has severe, macrocytic anemia, and 1/3 have thrombocytosis

 

BM usually shows hypercellularity and erythroid hyperplasia

 

5q gene normally helps to differentiate between the 3 cell lines, but not the lymphoid cell line

 

Survival is >10 years and <10% progress to AML

- other genetic abnormalities or excess blasts should be reclassified and have poorer px

 

Thalidomide analog lenalidomide tx has better px; and transfusion independence (?) achieved in 2/3 of pts and is related to suppression of the abnormal gene

 

 

MDS c isolated 5q del

MDS isolated del 5q [3]

Myelodysplastic syndrome, unclassifiable

 

 

Type of MDS that doesn't fit other MDS categories, usually in following situations:

 

1.) 1% blasts in PB, <5% BM blasts

- technically doesn't reach MDS-EB1

 

2.) Pancytopenia with unilineage dysplasia (MDS-SLD only allows mono-/bicytopenia)

 

3.) Clonal cytogenetics abnormality + No dysplasia

 

MDS-U should be closely followed for evolution into a more specific type of MDS

 

Unknown what % transform to AML

 

Cases similar to RCUD or RCMD which have 1% blasts in PB have px worse than RCUD/RCMD but better than RAEB

 

MDS-U [3]

 

Childhood myelodysplastic syndrome

 

 

MDS is very uncommon is pts <14 yo, and must be distinguished from other causes that can dause dysplasia (tx or other conditions), and ring sideroblasts and isolated del(5q) are especially rare

- ~1/4 cases of childhood MDS are in pts c Down syndrome, though now this dx is questionable and may be considered a distinct entity

 

Children MC present c neutro- and tbc-penia, vs anemia usually seen in adults, and hypo-cellularity (vs hypercellularity in adults)

- distinction of RAEB in kids, c same criteria as in adults, should be distinguished, although its significance not yet known, and these cases should be closely followed for progression to AML

 

 

If any of the cytogenetic abnormalities assoc c AML are found in BM, best to dx AML regardless of blast counts

 

Mono 7 is MC genetic abnormality, though there have not been many cases to be certain

- cytogenetic abnormalities do not affect morphology

 

Karyotype is most important factor in determining disease progression

- monosomy 7 has high probability of disease progression

- trisomy 8 assoc c long and stable course of dz

 

HSCT is only tx that may provide cure for pts c mono 7 or other complex karyotypes

 

Refractory cytopenia of childhood (RCC)

 

 

MDS c persistent cytopenia and <5% blasts in BM, <2% in PB

- majority of pts show significantly hypocellular BM

 

MCC MDS in childhood (~50% of all cases)

- spleen, liver and LNs are not sites of primary involvement

 

MC presenting sx are malaise, bleeding, fever and infx, though 20% have no sx

 

Anisopoikilocytosis and macrocytosis of RBCs and platelets common on PB

- PH cells and hypogranularity of neutros seen

- further dysplastic changes outlined in "MDS Summary" above

 

 

Most bmbx have hypocellular cores, making it hard to differentiate from BM failure disorders, and myelodysplasia due to secondary causes (infx, vitamin deficiency, metabolic disorders)

- pts c Down syndrome related neoplasms are excluded

 

Aplastic anemia, inherited BM failure diseases and PNH must be excluded

- precursor cells in aplastic anemia in children are not dysplastic!

- congenital diseases may have overlap c RCC (ie Fanconi anemia, dyskeratosis congenita, Scwachman-Diamond syndrome, amegakaryocytic thrombocytopenia, pancytopenia c radioulnar synostosis)

 

Most RCC cases have no cytogenetic abnormality

Mimickers of MDS

 

Pseudo–Pelger-Huët abnormalities

 

Etiology: number of medications

 

Neutrophils demonstrate hyposegmentation with abnormally clumped chromatin; Dohle bodies also

 

Cytologic changes typically abate after removal of the offending agent

 

Be careful to not over interpret as myelodysplasia!

 

Copper Deficiency

 

Cytopenias

Bone marrow findings

 

Variable cellularity

 

May be hypocellular, normocellular, or hypercellular

 

Possible erythroid predominance

 

Cytologic

Distinctive cytoplasmic vacuoles in granulocytic and erythroid precursors

 

Megakaryocytes may show some slight atypia

 

May be some subtle nuclear-cytoplasmic dyssynchrony in the erythroid or granulocytic precursors

 

No overt dysplastic features

 

Blasts not increased

 

Ring sideroblasts are common

 

Main neoplastic differential diagnosis is with low-grade MDS

 

Should not see vacuolated granulocytic precursors in MDS

 

Tips: need clear-cut dysplasia in MDS fulfilling WHO criteria or a second timepoint on the curve after exclusion of non-neoplastic mimickers

 

Differential of non-malignant dyspoiesis

 

Avoid MDS diagnosis if potential secondary cause

 

-- Beware of making the diagnosis in young patients!!!!!!!! Vitamin/micro nutrient deficiencies: copper (ring sideroblasts, vacuoles), vit B12/folate dificiency Infections: HIV (multilineage dyspoiesis)

Toxins/drugs: EtOH (acanthocytosis, ring sideroblasts), MMF (pelgeroid neutrophils), recent (<6 mo) chemotherapy or radiation therapy, arsenic/heavy metal toxin

Autoimmune/rheumatologic Congenital: dyserythropoiesis due to increased RBC fragility, baseline dyspoiesis and bone marrow failure syndromes

Neoplasms: involving marrow (esp myeloma, LGL, HCL)

Copper deficiency

Post-chemo dyspoiesis [4]

Myeloid neoplasms with germline predisposition

 

 

Although MDS and acute leukemia are sporadic dzs, a subgroup is assoc c germ line mutations and is familial

 

- the presence of a specific underlying genetic defect or predisposition syndrome should be noted as part of the dx

 

Broken down into 3 general groups:

1) Myeloid neoplasms with germline predisposition without a pre-existing disorder or organ dysfunction

2) Myeloid neoplasms with germline predisposition and pre-existing platelet disorders

3) Myeloid neoplasms with germline predisposition and other organ dysfunction

 

1) Myeloid neoplasms with germline predisposition without a pre-existing disorder or organ dysfunction

 

- has two groups:

a) AML with germline CEBPA mutations

b) Myeloid neoplasms with germline DDX41 mutations

 

a) Acute myeloid leukaemia with germline CEBPA mutation

 

- Inheritance of a single copy of mutated CEBPA, which encodes a granulocyte differentiation factor on cr 19q13.1

- appears to have near complete penetrance for the development of AML, though the prevalence is unknown

- there are a significant amount of cases with biallelic mutations, where one of the mutations seems germline and the other somatic

 

Px: favorable overall, though multiple relapses reported

 

b) Myeloid neoplasms with germline DDX41 mutation

 

- inherited mutation on cr 5 encoding the DEAD box RNA helicase DDX41

- similar to CEBPA mutations, one of the mutations may be inherited and the other somatic

 

Px: Poor

 

2) Myeloid neoplasms with germline predisposition and pre-existing platelet disorders

 

- includes 3 categories:

a) Myeloid neoplasms with germline RUNX1 mutation

b) Myeloid neoplasms with germline ANKRD26 mutation

c) Myeloid neoplasms with germline ETV6 mutation

 

a) Myeloid neoplasms with germline RUNX1 mutation

 

- autosomal dominant syndrome with abnormal platelet number and function, with increased risk of developing AML at a young age

- RUNX1 encodes a subunit of the core binding transcription factor that regulates expression of genes essential for hematopoiesis on 21q22

 

Sx: variable, most pts with mild to moderate bleeding tendency

- median age of onset of MDS/AML is 33 years

-- may also prediscopse to CMML, T-ALL, and B-cell neoplasms

- anticipation appears to occur in the pedigrees

b) Myeloid neoplasms with germline ANKRD26 mutation

 

- Autosomal dominant disorder, Thrombocytopenia 2, with moderate thrombocytopenia and increased risk of MDS/AML

- assembly of RUNX1 and FLI1 on the ANKRD26 promoted is disrupted, causing increased gene transcription and signaling through the MPL pathway, which in turn causes impaired proplatelet formation by megakaryocytes

 

Most patients have GP 1a and alpha-granule deficiency, whereas in vitro platelet aggregation studies are often normal

 

Germline Predisposition Syndrome

c) Myeloid neoplasms with germline ETV6 mutation

 

- Thrombocytopenia 5 (germline ETV6 mutations) is a recently described disorder with AD familial thrombocytopenia and hematologic neoplasms

 

3) Myeloid neoplasms with germline predisposition associated with other organ dysfunction

 

- includes 5 categories:

a) Myeloid neoplasms with germline GATA2 mutation

b) Myeloid neoplasms associated with bone marrow failure syndromes

c) Myeloid neoplasms associated with telomere biology disorders

d) JMML associated with NF, Noonan syndrome, or Noonan syndrome-like disorders

e) Myeloid neoplasms associated with Down syndrome

 

a) Myeloid neoplasms with germline GATA2 mutation

 

- originally identified as four separate syndromes:

 

1) MonoMAC syndrome: has monocytopenia and non-tuberculous mycobacterial infection

 

2) Dendritic cell, monocyte, B- and NK-lymphoid (DMCL) deficiency with vulnerability to viral infections

 

3) Familial MDS/AML

 

4) Emberger syndrome: with primary lymphedema, warts, and a predisposition to MDS/AML

 

Has also been seen with congenital neutropenia and aplastic anemia

 

GATA2 is a zinc-finger transcription factor regulating hematopoiesis, autoimmunity, and inflammatory and developmental processes

- can be seen in a fairly large proportion of kids with MDS

 

Micro: BM hypocellularity and multilineage dysplasia such as micromegs and megs with separated nuclear lobes, as well as increased reticulin fibrosis

- by flow, there is abnormal granulocyte maturation, monocytopenia, and decreased numbers of BM NK and B-cells

 

Genes: also associated with monosomy 7 and trisomy 8

 

Px: poor, although number of cases is limited

 

MDS with germline GATA2 mutation: typically in a patient with history of immunodeficiency showing  monocytopenia, hypocellular BM, and micromegs

Another micromeg in a patient with germline GATA2 mutation

b-c) Myeloid neoplasms with germline predisposition associated with inherited bone failure syndromes and telomere biology disorders

 

- Include diseases such as Fanconi anemia, Shwachman-Diamond syndrome, Diamond-Blackfan anemia, and severe congenital neutropenia

-- may not manifest until adulthood

Acute myeloid leukemia (AML) and related precursor lesions

Acute Myeloid Leukemia (AML) with recurrent genetic abnormalities

 

Not really a single dz, but is complex and heterogeneous

- AML is a proliferation >20% myeloid precursors (blasts) in PB or BM

- blast count <20% may be considered AML if the typical translocations are present (though not entirely clear-cut)

 

- these translocations produce chimeric proteins that influence marrow production of cells

 

Genetic testing required on all or most AML:

FLT3-ITD, NPM1, CEBPA, RUNX1

Others: IDH1, IDH2, TET2, WT1, DNMT3A, TP53, others

- KIT for core-binding bactor leukemias, PML-RARA upfront if APL is suspected

 

 4 MC genetic alterations are

(1)  t(8:21)(q22:q22); RUNX1-RUNX1T1

(2) inv(16)(p13.1q22) or t(16;16)(p13.1;q22); CBFB-MYH11

(3)  t(15;17)(q22;q12); PML-RARA

(4)  t(9;11)(p22;q23); MLLT3-KMT2A

 

Discussed in more detail in the box are these and others common to AML

 

Start with large dose induction chemo to try and send cancer into remission

 

- give ATRA for acute promyelocytic leukemia

 

BMT may offer cure for some pts

 

Px overall is pretty poor, most (80%) do not make it past 3 years

- refer to cytogenetic tests to more accurately establish px

- FLT3 mutations assoc c worse px, while CEBPA and NPM1 assoc c good px in AML c normal karyotype

 

 

 

FAB subtypes of AML

 

M0 - Undifferentiated AML

M1 - AML with minimal maturation

M2 - AML with maturation

M3 - Acute promyelocytic leukemia (APL)

M4 - Acute myelomonocytic leukemia

M5 - Acute monocytic leukemia

M6 - Acute erythroid leukemia

M7 - Acute megakaryoblastic leukemia

Blast with Auer rod

Blasts in AML

From Dr. Reichard lecture at City of Hope, Jan 18, 2020, LASOP

Grimwade, D. et al. Blood. 1998;92:2322-2333

Non-blast features in AML

LeukemiaNet Prognostic Genetic Categories [4]

AML survival among European LeukemiaNet risk categories [4] [Rollig C et al. JCO 2011;29:2758-65]

FLT3 in AML (not a subtype)

 

FLT3 is a receptor tyrosine kinase

- FLT3 mutations 30%; 25% ITD, 7% TKD

- Both result in constitutive activity

 

FLT3-ITDhigh is a driver mutation that confers a poor prognosis with an increased risk of relapse and shorter overall survival (OS) compared with patients without the mutation

 

FLT3 testing be performed at diagnosis in all patients to identify those who may benefit from targeted treatment options

 

FLT3 ITD mutations

– 20% of AML cases

– Poor prognosis and resistance to standard therapy

 

FLT3 TKD mutations

– Prognostic relevance is controversial

 

 

TP53 in AML

 

Frequency: 5-15%, increases with age (< 60 years: ~5-10%; > 60 years: ~10-20%)

- Associated with complex karyotype, monosomal karyotype, –5/5q–, –7/7q–, abn(17p)

- Associated with very poor outcome

- TP53 mutation and complex karyotype provide independent prognostic information, with the combination of both lesions having dismal outcome

 

 

 

ASXL1 in AML

 

- Early event in leukemogenesis

- 3-19% mutation frequency

- Frequency increases with age (< 60 years: 5-10%; > 60 years: 10-18%)

- Mutations appear to be more frequently associated with AML with myelodysplasia-related changes and a worse overall survival

- ASXL1/RUNX1 and ASXL1/SRSF2 mutations particularly poor outcome

 

AML with t(8;21)(q22;q22.1); RUNX1-RUNX1T1

 

- Seen in approximately 5% of AML cases

- More frequent in younger patients

- may present as myeloid sarcoma

 

- Germline mutations should be evaluated

- Diagnosis restricted to de novo cases (exclude history of MDS or therapy)

- Cases with MDS-related cytogenetic abnormalities should be classified as AML-MRC

- May be associated with other mutations

- KMT2A-PTD, IDH1, IDH2, ASXL1

- Rare CEBPA or NPM1

- Cases with RUNX1 and NPM1 mutations should be classified as AML with mutated NPM1

- Cases with RUNX1 and biallelic CEBPA mutations should be classified as AML with biallelic mutations of CEBPA

 

Micro: blasts typically have basophilic cytoplasm and azurophilic granules; frequently have Auer rods

- dysplasia is commonly seen only in the granulocytic lineage, the erythroids and megs look ok

 

IHC: (+) CD34, HLA-DR, MPO, CD13, CD33 (weak)

- can show neutrophilic differentiation with CD15+ or CD65+ blasts, in which case may express lymphoid markers CD19, PAX5, and CD79a, and may be weakly positive for TdT

- CD56 associated with worse prognosis (may be associated with KIT mutations)

 

Genes: RUNX1 encodes the alpha subunit of CBF, which is essential for hematopoiesis

- KIT mutations occur in 20-30% of cases

 

Px

- Good response to therapy

Blasts in t(8;21)(q22;q22) - see perinuclear clearing, azurophilic (large pink) granules and Auer rods [4]

Acute myeloid leukemia with inv(16)(p13.1q22) or t(16;16)(p13.1;q22); CBFB-MYH11

 

- shows monocytic and granulocytic differentiation and characteristically an abnormal eosinophil component in the BM

- seen in 5-8% of younger pts with AML, less common in older adults

- myeloid sarcoma may be present at dx

- WBC count significantly higher in pts with inv(16) or t(16;16) than in pts with t(8;21)

 

Micro: immature eosinophils in the BM show large purple-violet granules that may obscure cell morphology; these abnormal eosinophils may show abnormal nuclear hyposegmentation

- the abnormal granules may help identify inv(16) although it is not specific and has been seen in AML with biallelic CEBPA mutations and early T-cell precursor ALLs [7]

 

IHC: blasts CD34/CD117+, with differentiation towards granulocytic lineage, CD13/33/15/65/MPO+

- often CD2+, but this is not specific

 

Genes: inv(16)p13.1q22) is the most common, t(16;16)(p13.1;q22) is less common though both cause fusion of CBFB at 16q22 to MYH11 at 16p13.1

- MYH11 codes for smooth muscle myosin heavy chain

- CBFB codes for beta subunit of core binding factor

- may be subtle and missed by KT, so FISH or PCR may be needed

- secondary trisomy 22 is fairly specific for inv(16)

 

Px: high rate of complete remission and favorable overall survival

Blasts in inv(16) or t(16;16) - with abnormal cytoplasmic inclusions [4]

AML with inv(16), blasts were tryptase+ [7]

Acute myeloid leukaemia with inv(16)

(p13.1q22). Abnormal eosinophils, one with large basophilic coloured granules, are present.

Acute Promyelocytic Leukemia (APML or APL) with t(15;17)(q22;q12) PML-RARA

- FAB M3

 

- a Diagnostic Emergency!

> 20% (blasts + abnormal promyelocytes)

• Hypergranular and microgranular types

• DIC, life threatening coagulopathy

 

High value of cytochemical MPO and morphology in diagnosis

- if WBC low: search for hypergranular promyelocytes

- if WBC high: consider microgranular APL every time there are folded nuclei, monocytic

 

Micro: rare cases do not resemble either hypergranular or microgranular APL

 

IHC: Myeloid antigens (+); CD34(-), HLA-DR(-) CD15(-)

– Do not diagnose by flow

 

Genes: minority of cases cryptic (negative) by cytogenetics and FISH but are PCR positive

 

Tx: All trans retinoic acid (ATRA) + conventional chemo

- Early ATRA essential to reduce risk of hemorrhage

- takes about 5 days of ATRA to decrease risk

Acute Promyelocytic Leukemia (APL)

Flow cytometry of Acute Promyelocytic leukemia. Blasts have high side scatter and can be confused with maturing granulocytes. MPO+, CD34 negative, and HLA-DR negative, CD117+, CD13/33+ [4]

Translocations considered diagnostic in APML [Atch Pathol Lab Med. 2015 Oct;138(10):1308-13]

AML with t(9;11)(p21.3;q23.3); KMT2A-MLLT3

• 11q23 KMT2A gene used to be MLL gene

 

• Monocytic differentiation, Intermediate risk;

- More common in kids

– 9-12% pediatric AML

– 2% adult AML

• Secondary genetic abnormalities are common: +8

most common

AML with t(6;9)(p23;q34.1); DEK-NUP214

 

In up to 2% of AML cases, in both kiddos and adults, median age 13 and 35-44 yo

- presents c anemia and TBCpenia, generally lower WBC count in adults

- Auer rods present in 1/3 of cases

• PB basophilia is a characteristic feature

• Multilineage dysplasia, esp erythroid and granulocytic

 

IHC: (+) MPO, CD9, CD13, CD33, CD38, CD123, HLA-DR, CD117 (usually), CD34 (most), CD15, CD64 (some)

- 50% are TdT+

 

Genes: DEK on cr 6, NUP214 (aka CAN) on cd 9, fusion alters nuclear transport by binding transcription factors

 

Px: poor, esp if presenting with higher WBC counts

- high freq FLT3-ITD, tho does not negatively affect px in kiddos

 

AML with inv(3)(q21.3q26.2) or t(3;3)(q21.3;q26.2); GATA2, MECOM

 

• MECOM used to be EVI1

- Should consider history of MDS, if has MDS-related cytogenetic abnormality, morphologic evidence of dysplasia in >50% of cells in 2 lineages, as well as the absence of prior cytotoxic or radiation therapy, and if has a recurring cytogenetic abnormality

 

Micro:

Dysplastic small hypolobated megakaryocytes

• Multilineage dysplasia

 

Ddx: CML blast phase, AML with MDS-related changes (AML-MRC)

 

Px:

• Poor risk type of AML

AML with  (megakaryoblastic) with t(1;22)(p13.3;q13.1); RBM15-MKL1

 

• Restricted to infants and children <3 years old without Down syndrome

• Megakaryob lasts

 

Micro: PB and BM similar to that of acute megakaryoblastic leukemia (a subtype of AML, NOS) megakaryoblasts may show cytoplasmic blebbing or pseudopod formation

 

IHC: express one or more of these: CD41, CD61, CD42b

- CD36 is characteristically positive, but may be negative

- CD13 and CD33 may be positive

- CD34, CD45, and HLA-DR often are negative

- MPO is negative

- TdT and lymphoid markers are not expressed

 

Genes: t(1;22)([13.3;q13.1) is the sole abnormality

 

DDx:

– Myeloid leukemia associated with Down syndrome

– Another type of megakaryoblastic leukemia (CD41/CD61+) seen in infants and children

– Does not show t(1;22)

– GATA1 mutations

– Transient abnormal myelopoiesis

– >10% blasts, age 3-7 days, which resolve without treatment, GATA1 mutations

Acute Megakaryoblastic Leukemia

AML with BCR-ABL1

 

- Provisional entity, rare (<1% of AMLs)

- vs CML, less often splenomegaly, lower PB basophilia, fewer dwarf megs

 

This disease is a De novo AML in which patients show no evidence (either before or after therapy) of chronic myeloid leukemia

- Cases of mixed phenotype acute leukemia (MPAL) and therapy-related are excluded

- If another recurring genetic abnormality is present, that abnormality drives the final classification

 

Deletion of antigen receptors (IGH, TCR), IKZF1 , and / or CDKN21 may support a diagnosis of de novo disease

 

Tx: Patients may benefit from tyrosine kinase inhibitor therapy

 

 

AML with BCR-ABL1. Must exclude CML

AML with gene mutations

 

-

AML with mutated NPM1

 

 

– Favorable prognosis only in absence of FLT3 ITD mutation; 30% of AML

- secondary mutations include FLT3 and DNMT3A

 

Micro: strong association with acute myelomonocytic leukemia and acute monocytic leukemia (80-90% of acute monocytic leukemias have NPM1 mutation

- Multilineage dysplasia found in 74/318 (23%) de novo NPM1 mutated AML

- No significant survival difference of multilineage dysplasia in the presence of NPM1 mutation, a normal karyotype and no history of MDS

- Presence of NPM1 mutation trumps multilineage dysplasia

- secondary AML cases (arising from MDS,  MPN, therapy related) lack favorable prognosis of de novo AML

__________________________________________

IHC: high CD33, variable (often low) CD13, usually positive for CD117, CD123, CD110

- negative HLA-DR and CD34 (CD34+ cases associated with a worse prognosis)

 

2 flavors described

1. Immature myeloid IHC profile

2. Monocytic profile (CD36+, CD64+, CD14+)

 

CD34+/CD25+/CD123+/CD99+ associated with FLT3 mutations

__________________________________________

 

Genes: Usually normal karyotype

- - up to 15% have abnormal KT, such as gain 8 and del(9q) --- del(9q) associated with AML-MRC

- If there are other MDS-related cytogenetic changes, should diagnose MDS-MRC even if NPM1 is mutated

 

 

Cases with RUNX1 and NPM1 mutations should be classified as AML with mutated NPM1

- NPM1 commonly seen as a secondary change in AML, esp with FLT3 and DNMT3A, TET2, IDH1/2

- NPM1 mutations appear to preceed FLT3 mutations

__________________________________________

Px: good response to induction therapy

- cases with normal KT, and absence of FLT3-ITD have a favorable px

- worse px if FLT3-ITD present in younger pts, not clear if FLT3-ITD mutations give poorer px in older pts

- co-ocurrence of FLT3, NPM1, and DNMT3A is particularly poor

 

AML with NPM1 mutations, nuclei have cup-like indentations

AML with NPM1 with high Variant Allele Frequency (VAF) do worse than those with low VAF [Blood. 2018 Jun 21;131(25):2816=25]

AML with mutated CEBPA

 

 

7-20% of AMLs have CEPBA mutations

- more frequent with normal karyotype

-12-47% are single/monoallelic

 

– Favorable prognosis, only in 10% of AML, although ~50% of adult cases with normal karyotype

- strong assoc c monocytic differentiation

– Cytogenetically normal AML and AML with 9q deletion

- Multilineage dysplasia found in 28/108 (26%) of CEBPA mutated AML patients

- No significant survival difference with multilineage dysplasia

 

 

Survival in AML with CEBPA, Wouters BJ, et al. Blood. 2009 Mar 26;113 13):3088-91.

AML with biallelic mutations of CEBPA

 

Biallelic mutations required for this category

- 7-20% of all AML cases have a CEBPA mutation

Approximately half are biallelic

Immunophenotyping: increased frequency of CD7 and CD15 expression on the blasts

- monocytic markers (CD14, CD64) usually absent

 

- important to recognize if it is a germline mutation, bc may be important in transplantation

 

Genes: low freq of karyotype abnormalities

- del(9) sometimes  seen, doesn't change px

 

NGS reporting clues:

Classic pattern, frameshift or non-sense variant in the N-terminus (p.1-120) and an in-frame indel or missense variant in the C-terminus (p.278-358).

- Should raise the possibility of germline predisposition condition

 

Px: favorable

 

No unique morphologic features; 25% cases may show multilineage dysplasia AML with biallelic mutations of CEBPA

AML with mutated RUNX1

 

- Gene located at 21q22

- encodes the alpha subunit of the core binding factor

- Present in 12-13% of AML

- more freq in older male pts

- frequent prior hx of MDS, or prior exposure to radiation

 

*** Cases arising from MDS will still be called AML-MRC [4] ***

*** Cases with prior therapy will still be therapy-related AML ***

 

Micro: wide morphologic spectrum

 

Genes: freqently assoc c KMT2A-PTD, IDH1, IDH2, or ASXL1 mutations

- rare CEBPA or NPM1 mutations

 

Px: poor response to therapy with shortened survival

- germline mutations should be evaluated, think about it in younger pts

Wide morphologic spectrum;

No unique morphologic features

AML with myelodysplastic changes

 

Diagnostic criteria:

20% BM or PB blasts + (one of the following):

-Hx of MDS

-MDS cytogenetics

- Multilineage dysplasia (>50% in 2+ cell lineages, which is HIGHER than in regular MDS)

 

all these WITHOUT:

-prior cytotoxic therapy for any dz

- absensce of the specific cytogenetics abnormalities seen in AML with recurrent genetic abnormalities

 

MC in elderly

Usually have severe pancytopenia

May appear de novo or from an evolving MDS

________________________________

IHC: w chr 5/7 del get (+) CD34, 7, TdT

________________________________

Genes: del -5 and del -7 are MC

 

- If NPM1 mutation identified, diagnose as AML with NPM1 mutation (despite MLD)

 

- If biallelic CEBPA mutations, diagnose as AML with CEBPA mutation (despite MLD)

 

- If AML-MRC diagnosis is based on history of MDS or MDS-related cytogenetics, then retain AML-MRC even if NPM1, biallelic CEBPA mutations identified

 

Del(q) assoc c t(8;21), freuently occurs in AML with NPM1 and biallelic CEBPA mutations

 

SF3B1 mutations are not associated with ring sideroblasts in AML as they are in MDS

- although ring sideroblasts in AML are associated with adverse risk characteristics and have a distinct gene expression pattern

________________________________

DDx: refractory anemia w excess blasts, acute erythroid leukemia, acute megakaryoblastic leukemia, other AML NOS

________________________________

Px: Poorer than most AML

 

 

AML genes [4]

Morphologic dysplasia in AML [4]

Red box is genes assoc c MDS or CMML, includes SRSF2, ZRSR2, SF3B1, ASXL1, BCOR, EZH2, U2AF1, STAG2, R Coleman Lindsay et al. Blood 2015; 125:1367-76)

Micromegakaryocytes and Hypogranulated myeloid cells independently associated with shorter OS/EFS in multivariable analysis  [4] [Weinberg et al, Mod Pathology 2015 28(7):965-76

Therapy-related myeloid neoplasms

 

Pts who develop myeloid neoplasms following cytotix therapy

- 70% treated for slid malignancy and 30% for hematologic malignancy

- common occurs 5-10 years after exposure to alkylating agents and/or ionizing radiation

- 1-5 years following tx with agents that interact with DNA topoisomerase II (topoisomerase II inhibitors)

- AML and MDS grouped togerher

- may have recurring cyogenetic abnormalities that impact px and hsould be noted in the dx

- may occur after therapy for another AML type

 

Includes:

1. therapy-related acute myeloid leukemia (t-AML)

 

2. t-MDS,

 

3. therapy-related MyeloDysplastic / MyeloProliferative Neoplasms (t-MDS/MPN)

 

- treated (?) MPN transformation not included bc cant know if its from tx or primary (?)

- classification based on morphology and blast counts may not have a clinical significance

 

All agents will usually cause genetic abnormalities

 

2 subtypes:

1.  Alkylating agents (cyclophosphamide, busulfan)

- causes MDS, then BM failure, then AML ~5 years after tx

-- most pts die in MDS phase

 

2. Topoisomerase II inhibitors (etoposide, doxorubicin)

- see monocyte proliferation about 2 years after tx

 

IHC: no specific immunophenotype exists

 

Risk of acquiring one of these dzs inc w age w tx, w exception of etoposide

- may be caused from tx of any kind of malignancy, usually 5-10 years after drug exposure

 

Dysplasia occurs in multiple lineages

 

Unbalanced chromosome 5/7 usually the culprit, but translocations may be balanced

 

Anemia and unusual RBCs usually present as well, + ringed sideroblasts, dyserythro-/-granulopoiesis, neutos / basos / megakaryos usually strange looking

 

Genes: 90% have abnormal karyotype

- 70% unbalanced, usually partial loss of chr 7 or 5

- remaining % have balanced translocations

 

Prog: Generally poor (<10% 5-year); very poor  chr 5/7 probs

- depends a lot on primary dx and tx received

AML, NOS

 

AML's that don't fit the other categories, still have the >20% blasts req'd for AML, can be further classified based on features

 

- may need further genetic / molecular testing to be categorized; these may be subcategorized based on IHC / morphology (degree of differentiation or cell type), but genetics is best px indicator

 

AML with minimal differentiation

 

Rare; this disease is an AML with no morphologic or cytochemical evidence of myeloid differentiation

- the myeloid nature of the blasts is seen with immunological markers, which is essential when distinguishing from a lymphoblastic leukemia

- does not fulfill criteria for other types of AML

- usually in infants or older adults

 

Micro:  blasts are small and undifferentiated

 

IHC: most cases express CD34, CD38, and HLA-DR - blasts express at least 2 myeloid markers including CD13 and CD117

- negative for myeloid and monocytic markers such as CD11b, CD15, CD14, CD65

- negative for MPO by cytochemistry, but can be positive for MPO by IHC or by flow

- nuclear TdT positive in 50% of cases, and thought to be a favorable prognostic indicator

 

Px: probably the worst of this disease category

AML without maturation

 

5-10% of AML cases; High percentage of BM blasts without significant evidence of maturation to more mature neutrophils

- maturing cells of the granulocytic lineage constitute <10% of nucleated BM cells

- myeloid nature of cells confirmed by MPO staining or presence of Auer rods

 

IHC: positive for MPO and one or more myeloid antigens, such as CD13, CD33, or CD117

- CD34 and HLA-DR are positive in ~70% of cases

- generally there is no expression of markers associated with granulocytic maturation (CD15 or CD65) or monocytic differentiation (CD14, CD64)

- CD11b expressed in some cases

- CD7+ in 30% of caes

- lymphoid markers (CD2, CD4, CD19, CD56) seen in 10-20% of cases

 

DDx: lymphoblastic leukemia in cases where blasts lack granules of have low percentage of MPO-positive blasts

AML with maturation

 

~10% of AML cases; characterized by 20% blasts in BM or PM and with evidence of maturation (>10% maturing cells of granulocytic lineage) in BM; cells of monocyte lineage are <20% of BM cells

- does not fit into another category of AML

- pts usually present with anemia, thrombocytopenia, and neutropenia

- WBC and # blasts is variable

 

Micro: Auer rods frequently present

- promyelocytes, myelocytes and mature neutrophils are >10% of BM cells

- dysplasia is frequently present, although <50% of cells in two lineages are dysplastic

- eosinophil precursors are frequently increased, but are not abnormal (as seen in the inv(16) or t(16;16))

 

IHC: blasts usually express one or more myeloid markers, such as CD13, CD33, CD65, CD11b, CD15

- there is usually expression of CD34, CD117, and HLA-DR, may only be present in some blasts

- monocytic markers (CD14, CD36, CD64) usually are negative

- CD7+ in 20-30% of cases

- expression of CD56, CD2, CD19, and CD4 is uncommon

 

DDx: MDS-EB, AML without maturation, AMML

Acute Myelomonocytic Leukemia (AMML)

 

aka AML M4, 5-10% of AML cases, more common in older people

• Both myeloid & monocyte precursors

– >20% blasts: Blast count includes promonocytes

– >20% neutrophils and myeloid precursors

– >20% monocytes and promonocytes

 

Micro: monoblasts are large cells with lots of cytoplasm that can be basophilic and can show pseudopod formation

- azurophilic granules, vacuoles and Auer rods may be seen

 

IHC: generally shows several populations of blasts, which variably express myeloid antigens (CD13, CD33, CD65, CD15), with one of the blast populations positive for monocytic markers (CD14, CD64, CD11b,  CD4, CD36, CD68, CD163, lysozyme)

- co-expression of CD15, CD36, and strong CD64 is characteristic of monocyte differentiation

- there is also a population of immature blasts expressing CD34 and or CD117

- most cases positive for HLA-DR and ~30% of cases express CD7

 

Genes: Non-specific

 

DDx: AML with maturation, acute monocytic leukemia, chronic myelomonocytic leukemia

Acute Monoblastic and Monocytic Leukemia

 

Acute monoblastic leukemia has >80% monoblasts

- in acute monocytic leukemia, most of the leukemic cells are promonocytes or monocytes

 

Extramedullary masses, cutaneous and gingival involvement, and CNS involvement are common

 

Micro: Auer rods are rare, when present

- hemophagocytosis may be seen, and is often assoc with t(8;16)(p11.2;p13.3)

 

IHC / flow: (+) CD13, CD33, CD15, CD65

- generally has at least two markers of monocytic differentiation: CD14, CD4, CD11b, CD11c, CD64 (bright), CD68, CD36 (bright), and lysozyme

- CD34 is positive in only 30% of cases, CD117 is more often expressed

- most cases are positive for HLA-DR

- MPO expressed in acute monocytic leukemia, less often in monoblastic leukemia

- aberrant CD7 and / or CD56 in 25-40%

 

Genes: t(8;16)(p11.2;p13.3) in most cases is assoc c hemophagocytosis

 

DDx: AML without maturation, AML with minimal differentiation, AML with t(9;11)((p21.3;q23.3), acute megakaryoblastic leukemia, extramedullary myeloid sarcoma

- DDx of acute monocytic leukemia includes CMML, AMML, microgranular APL

Acute monoblastic and monocytic leukemia [4]

Pure erythroid leukemia

 

- (Acute Erythroid Leukemia removed from WHO and now MDS with excess blasts and an erythroid preponderance??)

 

Denominator for blast calculation is now all nucleated cells

- need >80% of all bone marrow cells to be erythroid precursors, with >30% proerythroblasts

- used to be non-erythroid cells when erythroid cells >50%

- erythroid/myeloid acute erythroid leukemia -> MDS with excess blasts

- cases with >50% erythroid cells and >20% myeloid blasts should be classified as AML-MRC (Myelodysplastia-Related Chenges) or AML-RGA (Recurrent Genetic Abnormalities)

 

- AML M6;

• Proposed WHO Revision to move this to a myelodysplastic syndrome, since it has a more mild clinical course

 

Micro: Erythroid hyperplasia and dysplastic erythroid

precursors; PAS positive; cytoplasmic vacuoles

• Erythroleukemia M6a

– > 50% of all nucleated cells erythroid cells

– >20% of non-erythroid cells are myeloblasts

• Pure erythroid leukemia M6b (rare): >80% erythroblasts

 

Cytochemical: NSE and MPO negative

 

IHC: (+) E-cadherin (more specific for erythroids), CD117, erythroiblasts express glycophorin, hemoglobin A, and CD36 and CD71 (less specific)

- glycophorin and hemoglobin may be negative if less differentiated

Negative immunostains: CD3, CD20, CD138, PAX5, TdT, CD34, CD10, HLA-DR, Myeloperoxidase, Lysozyme, CD14, CD61, Cytokeratins (OSCAR, AE1/3), CD56, Desmin

 

Px: Poor, 3 mo survival

Pure erythroid leukemia

Blast counting in erythroid predominant cases. Reichard lecture, city of hope, LASOP, 1/18/2020

Pure erythroid leukemia. [5]

Pure erythroid leukemia, IHC is e-cadherin

Erythroid immunophenotype

Acute Megakaryoblastic Leukemia

 

- AML M7

• > 20% blasts, 50% are megakaryoblasts

• Excludes t(1;22), inv(3), t(3;3) and Down syndrome-related cases

- de novo AML restricted to infants and young children (aged <3 years), with most cases occurring in the first 6 months of life

 

Micro: BM fibrosis; Basophilic cytoplasm; Cytoplasmic blebs

- small and large megakaryoblasts may be present and mixed with more normal blasts

 

EM—platelet peroxidase

– CD41, CD61, CD42

 

acute megakaryoblastic leukemia, right shows extensive fibrosis [4]

acute megakaryoblastic leukemia aspirate with prominent pseudopod formation[4]

acute megakaryoblastic leukemia, CD117 (left) and CD61 (right), higlighting blasts

Acute basophilic leukemia

 

Very rare, blasts differentiate towards basophils

- patients may have cutaneous involvement, organomegaly, lytic lesions, and sx related to hyperhistaminemia

 

Micro: blasts in PB and BM are medium-sized, high NC ratios, 1-3 prominent nucleoli, moderately basophilic cytoplasm with variable numbers of coarse basophilic granules, may have vacuoles in cytoplasm

- erythroid series can show some dysplasia

- metachromatic staining with toluidine blue

 

IHC: blasts express CD13 and CD33 and are usually positive for CD123, CD203c, and CD11b

- negative for monocytic markers and CD117;

- may be positive for CD34

- unlike normal basophils, may be positive for HLA-DR but are negative for KIT

 

DDx: blast phase of an MPN; other AML subtypes with basophilia such as AML with t(6;9); AML with BCR-ABL1; mast cell leukemia; and rarely subtypes of lymphoblastic leukemia with prominent coarse granules

- mast cell leukemia will be positive for CD117, MCT, and CD25

Acute panmyelosis with myelofibrosis (APMF)

 

A very rare form of AML in which there is increased erythroid, granulocyte, and megakaryocyte precursors (ie panmyelosis)

- patients are acutely sick at presentation, with weakness, fatigues, and usually fever and bone pain

- Pancytopenia is ALWAYS present

- no or minimal splenomegaly

- clinical evolution is rapidly progressive

 

Micro: pancytopenia in the PB, which is usually marked, possible rare erythroblasts, no dacryocytes, may see occasional neutrophil precursors or blasts

- although dysplastic changes in myeloid cells is frequent, criteria for AML with myelodysplasia-related changes is not met

 

BM aspiration is usually not successful

- BM core biopsy is hypercellular, with densely fibrotic stroma, and panmyelosis

- a characteristic finding is foci of blasts associated with dysplastic megs that are small with eosinophilic cytoplasm

- blasts usually range from 20-25%

- degree of marrow fibrosis is variable, but is usually marked, and diffuse collagenous fibrosis is less common

 

IHC: blasts are CD34+, CD13/33/117+

- MPO usually negative

 

Genes: usually abnormal cytogenetics,

- if complex karyotype with cr5 or 7, consider the dx of AML-MRC

 

DDx: other types of AML associated with BM fibrosis, including acute megakaryoblastic leukemia

- PMF, post-polycythemia vera myelofibrosis, post-essential thrombocytemia myelofibrosis

- the differential may be difficult especially if no cytogenetics can be obtained

- if the proliferative process is predominantly one cell type (ie myeloblasts) and there is associated myelofibrosis, then should be classified as AML with a specific subtype and qualified as "With myelofibrosis"

- blasts of acute megakaryoblastic leukemia are CD34 negative

 

Px: Poor, only survival of a few months

Myeloid sarcoma

 

Older adults (mean age 56 years, range 1 month to 89 years); M:F 1.2:1., 10% of pediatric AML.

•Sites of involvement: skin, LN, GI, bone, ST, testes, CNS, orbit, etc., Multiple sites in <10% cases.

•Detection of myeloid sarcoma is equivalent to a diagnosis of AML (new or relapse).

•May occur as therapy-related myeloid neoplasm

Tumor with myeloblasts outside the BM, but must form a mass (can't just be infiltrating metastatic cells) in any, or multiple sites

- should be subtyped

 

Micro: Blasts may show myeloblastic (+/- admixed maturing granulocytes), promyelocytic, myelomonocytic, or monoblastic differentiation.

•Rarely erythroblastic or megakaryoblastic morphology (more common in blastic transformation of MPNs).

•LN shows paracortical or diffuse involvement, often extending to the perinodal fat.

•May mimic metastatic carcinoma or lymphoma.

 

May precede or coincide with AML, MDS, or cancer recurrence

 

55% have genetic abnormalities

Chromosomal aberration in about 55% of the cases (monosomy 7, trisomy 8, KMT2A/MLL rearrangement, inv(16), trisomy 4, monosomy 16, loss of 16q, 5q, or 20q, trisomy 11).

•NPM1 (16%) and FLT3 (<15%) mutations.

 

•All MS cases should be classified immunophenotypically and cytogenetically (karyotype and/or FISH)

–may be done on BM/PB if involved.

–on extramedullary tissue otherwise.

 

11q23 (KMT2A/MLL) rearrangement

•Myelomonocytic morphology.

•39% of MS cases in children.

•Higher incidence of skin involvement, esp. pediatric.

 

t(8;21)(q22;q22) RUNX1/RUNX1T1

•25% of pediatric and 10% adult cases develop MS (head and neck localization in pediatric pts but not adult cases).

•CD19/PAX5 aberrant expression common.

 

Trisomy 8

•Higher incidence of skin or breast involvement.

 

NPM1 mutation

•CD34 negative, aberrant cytoplasmic NPM1 expression.

•Myelomonocytic or monoblastic morphology,

•Normal karyotype.

•Higher incidence in MS involving the skin (>50%).

 

CBFB-MYH11 Fusion (inv16 or t(16;16) prevails in the abdomen

- Myeloblastic or myelomonocytic differentiation.

•Many cases (64%) lack overt eosinophilic component.

•Striking abdominal (GI, GU) localization [100% (11/11) cases reviewed at Mayo Clinic Rochester; overall 94% (31/33) in published cases).

•Breast involvement also common.

•Plasmacytoid dendric cell (pDC) nodules in a subset of cases (CD123+ but CD56-).

 

DDx: Lymphoma (LBL, blastoid MCL, BL, DLBCL).

•Blastic plasmacytoid dendritic cell neoplasm.

•Non-effacing extramedullary blastic proliferations.

•Extramedullary hematopoiesis (advanced stage MPN).

•Pseudotumoral proliferations following growth factor administration.

•Small round cell tumors; carcinoma.

 

MPO and CAE are (+), whereas NSE is (-) (differentiating from monoblasts [which are NSE(+), and also CD14/163/11c(+)])

 

CD68/KP1 is MC IHC expressed, CD117/99 also common

 

- may see CD123(+), indicating plasmacytoid dendritic cell differentiation

- aberrant markers also seen

 

Tx: BMT assoc c highest survival/cure rates

 

 

Myeloid sarcoma

from lecture at City of Hope, January 18, 2020

Myeloid sarcoma with CBFB-MYH11

Myeloid proliferations related to Down syndrome

 

50x increased risk of leukemia from Down Syndrome in first 5 years (affecting 1-2% of DS pts)

 

Blast count foes not drive the prognosis, and thus should not be classified as AML or MDS

 

- majority (50%) are acute megakaryoblastic leukemia, GATA1 (+) [vs other AMkbLs], and (+) for CD34, CD7, CD33, CD41, CD61, CD71, CD117, and glycophorin A, variably (+) for CD4 (dim), CD13, CD56

 

~ 10% of neonates with Down Syndrome have some type of hematologic abnormality at birth (transient myeloproliferative disorder) aka transient abnormal myelopoiesis (TAM), which is indistinguishable from AML and resolves within several months but may predispose to leukemia later on

- MC thrombocytopenia in blood work

 

Cells often have dark basophilic cytoplasm with granules and cytoplasmic blebbing (suggestive of Mkc's)

 

GATA1 (+) in blasts, and is most likely different from AML blast genetics

 

Refractory Cytopenia of Childhood often preceeds MDS or leukemia

 

- Macrocytic erythrocytes and giant platelets can be seen

 

IHC: CD34/56/41 (+) in Transient Abnormal Myelopoiesis, but negative in 50% of leukemias

 

AML in DS pts assoc c better px than children w/o DS that have AML

 

- specific protocols exist for these GATA1 (+) leukemias

 

Px: Myeloproliferative disorder that spontaneously resolves within 1-2 months

- Transient Abnormal Myelopoiesis

Myeloid proliferations assoc c Down syndrome [4]

Blastic plasmacytoid dendritic cell neoplasm (BPDCN)

 

BPDC comes from plasmacytoid dendritic cell precursors (pDCs or plasmacytoid monocytes) which form blast-filled tumors that like to spread to lymph nodes

- rare tumor mostly in elderly, assoc c MDS

 

Almost always involves skin, ~80% in PB/BM, ~45% in LNs

 

Presents c single/multiple skin lesions, sometimes lymphadenopathy (20%), thrombocytopenia, and usually will develop into leukemia

 

Micro:

Lymph node

•Interfollicular involvement sparing the follicles.

 

Bone marrow

•Mild interstitial infiltrate or massive involvement.

•Blastic cells may show microvacuoles and pseudopods with agranular cytoplasm.

PB/BM smear shows pseudopods and membranous microvacuoles

 

Must distinguish from myeloid neoplasm extensively involving a particular site

 

IHC: (+) CD4/7/33/43/45RA/56/123/303, TCL-1A, CLA, MXA (IFN-α inducible protein myxovirus A), Tdt

- cannot r/o if 56 negative and 4/123,TCL-1 (+)

- CD68 in 50% (will see small cytoplasmic dots)

- Granzyme B, perforin, and TIA1 found in mRNA but negative on immunostains

- must do extensive IHC/genetic analysis before Dx'ing

May express myeloid (CD33, CD36, CD68) or lymphoid (CD2, CD5, CD7, CD38, CD79a) markers, CD117, S100 (30%), TdT (30%, variable expression).

•Negative for CD3, CD19, CD20, lysozyme, MPO.

•Combination of CD4, CD56, CD123, and TCL1A; in the absence of lineage specific markers highly specific for BPDCN.

 

MPO and NSE are negative

 

DDx: Acute myeloid leukemia/myeloid sarcoma.

•Mature plasmacytoid dendritic cell proliferation/MPDCP (pDC nodules).

•Lymphoblastic leukemia/lymphoma.

•T/NK-cell lymphoma.

•Langerhans cell histiocytosis.

 

DDx: Myeloid sarcoma - See the table

Frequently show skin and/or involvement, esp. cases with monocytic differentiation.

•May express CD4, CD56, and/or CD123.

•Shares expression of many other myeloid antigens with BPDCN (CD14, CD33, CD43, CD68, CD163).

•Extensive IHC workup and genetic analysis may be required for distinction between BPDCN and MS.

 

DDx: MPDCP/pDC nodules -  See image and table

Nodules or irregular aggregates of morphologically mature cells morphologically and phenotypically similar to normal pDCs (CD56 negative or focal/weak, TdT negative).

•May be seen in LN, skin, and BM.

•May be numerous/confluent or “tumor forming.”

•Often associated with and clonally related to the underlying myeloid neoplasms (chronic myelomonocytic leukemia/CMML, MDS, AML).

•Also seen in reactive conditions: Kikuchi-Fujimoto lymphadenitis, SLE, hyaline-vascular Castleman disease, granulomatous lymphadenitis.

 

Genes:

Two thirds of cases show abnormal karyotype (nonspecific; 5q21/5q34, 12p13, 13q13-21, 6q23-qter, 15q, -9/CDKN2A deletion).

•Complex karyotype common.

•TET2: most commonly mutated gene in BPDCN.

•Other mutations detected: ASXL1, RAS, ATM, IDH2, KIT, APC, RB1, BRAF, TP53, RET.

Complex karyotype mixing is common

 

Tx: Acute leukemia-type induction with possible BMT

Initial response to chemotherapy followed by relapses (skin, other sites) and chemoresistance.

•10-20% associated with or develop into other myeloid neoplasms (CMML, MDS, AML).

•Aggressive; median survival 10-20 months.

•Better in pediatrics pts; long term survival in 36%.

 

Px: Aggressive with ~1 year avg survival

 

- tend to relapse after initial response to chemo

BPDCN in skin, diffusely infiltrating dermis with perivascular pattern of infiltration with fine chromatin resembling lymphoblasts or myeloblasts

Characteristic phenotype is CD4+, CD56+, CD123+

BPDCN IHC summary table

MYELOID SARCOMA

Acute Leukemias of Ambiguous Lineage

Overview of Acute Leukemias of Ambiguous Lineage (ALAL)

 

Leukemias that don't show maturation along a single lineage, shown by FC

- may have no lineage-specific antigens (Acute Undifferentiated Leukemia, AUL), or express antigens from more than 1 lineage (Mixed Phenotype Acute Leukemia, MPAL)

 

For MPALs, a bilineage leukemia has separate blast populations from more than 1 lineage, and biphenotypic leukemia is one blast population that contains antigens from multiple lineages

- some examples of these biphenotypic leukemias are B/myeloid (B/MY) and T/myeloid (T/MY)

-- FGFR1 mutations are not to be assoc c T/MY

 

Criteria for recognizing specific cell lineages in ALAL

3 ways in recognizing cells from myeloid lineage:

1.) 2 distinct blast populations (1 of which would qualify as AML [though doesn't need to have 20% blasts {?}])

2.) Single blast population that would qualify as B-ALL or T-ALL (c (+) lymphoid markers), and are MPO (+)

3.) "                                                                                                                                     " and show monocytic markers (CD11c/14/36/64)

 

Cells from the T-lineage are recognized c surface or cytoplasmic CD3 (+)

- must be careful bc NK-cells can stain positive c CD3 due to the zeta-chain of their T-cell receptor

 

B-cell lineage identified with either strong- or weak- CD19 positivity and 1- or 2- other B-cell antigen (respectively) strong positivity (CD10, CD22 [cytoplasmic], or CD79a)

 

 

 

Acute undifferentiated leukemia

 

Includes leukemias that express no markers for either the lymphoid or myeloid lineages

- must exclude rare lineages (ie plasmacytoid dendritic cell / NK-cell / basophilic / non-hematopoietic cell) before diagnosing

 

Blasts will be negative for MPO and esterase, CD3/19/22/79a

- blasts can have (+) CD34/38 or TdT

 

Cases are too few to know exact Px

 

 

Mixed phenotype acute leukemia with t(9;22)(q34;q11.2): BCR-ABL1

 

Meets the criteria for MPAL (states in the ALAL overview)  and has t(9;22)(q34;q11.2) or BCR-ABL1 rearrangements

 

Dx should not be made in pts c known CML

 

MCC of MPAL, though still accounts for <1% of acute leukemias

 

All cases have at least the t(9;22)(q34;q11.2) or  BCR-ABL1 abnormalities, though complex karyotypes also occur

 

Majority of these cases have blasts from B-cell and myeloid lineage; less come from T-cell / myeloid lineages; and even fewer from all 3 lineages

 

Imatinib and tyrosine kinase inhibitors would be expected to treat these kinds of pts, though no good data exists

 

Px is poorer than other types of MPALs

 

 

Mixed phenotype acute leukemia with t(v:11q23): MLL rearranged

 

Meets the MPAL criteria and has the above translocation

 

As with AML/ALL c MLL rearrangements, this leukemia is MC in infancy

 

Usually have a population of monoblasts c a population of lymphoblasts

 

If the blasts are only monoblasts (w/o lymphoblasts), consider AML c MLL translocation

 

Lymphoblasts are usually CD15/19 (+) and CD10 (-)

- CD22/79a is usually weak

 

In addition to MLL rearrangement, t(9;11) and t(11;19) have been seen

 

Poor Px

 

Tx is uncertain

 

Mixed phenotype acute leukemia, B/myeloid, NOS

 

Blasts express the B and myeloid markers, as in the criteria set in the overview, but do not have any specific / characteristic cytogenetic abnormalities

 

This group has no characteristic  cytogenetic abnormalities, and the blasts display no unique features morphologically

- may have relatively simple to complex karyotypes

 

Px is poor

 

Genetic abnormalities found are usually unfavorable, which may explain the poor outcome

 

 

Mixed phenotype acute leukemia, T/myeloid, NOS

 

Meets criteria for T-cell and myeloid lineages, as described in the overview, but has no characteristic cytogenetic abnormality

 

Blasts have no distinct morphologic features

 

Myelo-/monoblasts are CD3/13/33/117 (+) and T-cells CD2/3/5/7 (+)

 

Early T-precursor (ETP) ALL leukemia has early T cell diff with retention of some myeloid and stem cell characteristics at immunophenotypic and genetic level

- must express CD7 but lack CD1a and CD8, and are positive for 1 or more of the myeloid / stem cell markers CD34, CD117, HLA-DR, CD13, CD33, CD11b, or CD65

- express CD2 and cytoplasmic CD3 and often CD4

- CD5 often negative

- myeloid gene mutations such as FLT3, NRAS/KRAS, DNMT3A, IDH1, and IDH2 found at high freq whereas T-cell assoc mutations such as NOTCH1 or CDKN1/2 mutations infreq

 

No characteristic genetic defects due to low number of cases

 

Poor px

 

No tx regime has been established

 

 

 

Mixed phenotype acute leukaemia, NOS- rare types

 

 

Few cases of trilineage leukemias (B/T/myeloid) have been reported

 

No cases of (B/T)/Mgkc or (B/T)/erythroid leukemias have been reported, maybe bc Mgkc's and erythroid lineages are the first to break off the pluripotent stem cells

 

Assessing MRD in AML?
[Blood 2018 Mar22;131(12):1275-91]

 

Although considerable variations in techniques and testing methodologies exist, detection of MRS is a valuable tool for prediction of relapse in AML

 

Methods include:

- real-time PCR

- flow cytometry

- next generation sequencing (NGS)

 

Outside of a clinical trial, routine adoption of MRD assessment in the upfront management of AML is not yet recommended

- efforts to standardize MRS are underway

Reasons for inadequacies in measuring MRD

MRD methods [4]

References

 

1. Arber et al. The 2016 revision to the WHO classification of myeloid neoplasms and acute leukemia. Blood. 19 May 2016. Vol 127, No 20.

http://www.bloodjournal.org/content/bloodjournal/127/20/2391.full.pdf

 

2. Hasserjian R. MDS and MPN, Part 1: Into to Myeloid Neoplasms. https://www.society-for-hematopathology.org/web/education-virtual-curriculum-view.php?video_id=416053016

 

3. Hasserjian R. Myelodysplastic syndromes and myeloproliferative neoplasms. Part II myelodysplastic syndromes. https://www.society-for-hematopathology.org/web/education-virtual-curriculum-view.php?video_id=418543043

 

4. Olga. AML. https://www.society-for-hematopathology.org/web/education-virtual-curriculum-view.php?video_id=417689596

 

5.  WHO blue book heme 2016.

 

6. Pozdnyakova O. Myeloid./Lymphoid neoplasms associated with Eosinophilia and rearrangements of PDGFRA, PDGFRB, or FGFR1 or with PCM1-JAK2. Am J Clin Pathol. February 2021; 155:160-178

 

7. Kelemen K. Eosinophilia / Hypereosinophilia in the Setting of Reactive and Idiopathic Causes, Well-defined Myeloid or Lymphoid Leukemias, or Germline Disorders. Am J Clin Pathol Feb 2021; 155:179-210

 

8. Hasserjian.Myelodysplastic / Myeloproliferative Neoplasms and Eosinophilic Neoplasms. Society for Hematopathology. https://www.society-for-hematopathology.org/web/education-virtual-curriculum-view.php?video_id=445215255

 

9. Prakash. How I Diagnose Primary Myelofibrosis. Am J Clin Pathol 2022; 157:518-530